
Thermo Fisher Scientific Goat anti-Human IgG Fc Highly Cross-Adsorbed Secondary Antibody
인간 IgG Fc 영역에 특이적인 염소 유래 폴리클로날 2차 항체입니다. 높은 교차흡착 처리로 비특이적 결합을 최소화하며, Western blot과 ELISA에 적합합니다. 액상 형태로 제공되며, 2.5 mg/mL 농도로 PBS 용액에 보관됩니다.
✨AI 추천 연관 상품
AI가 분석한 이 상품과 연관된 추천 상품들을 확인해보세요
연관 상품을 찾고 있습니다...
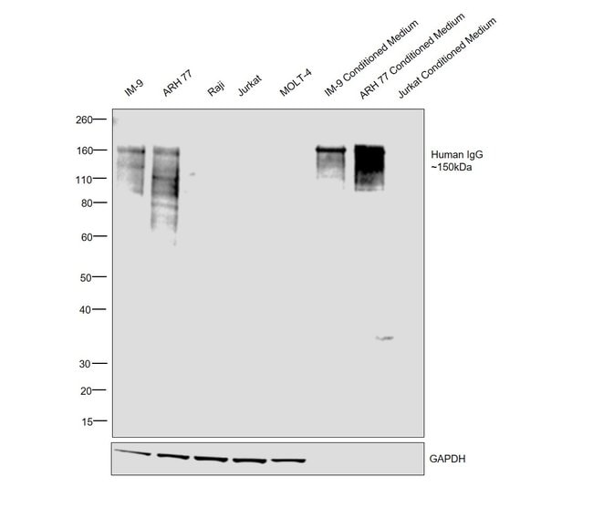
Applications and Tested Dilution
| Application | Tested Dilution |
|---|---|
| Western Blot (WB) | 1:2,000 |
| ELISA | 1:500–1:20,000 |
Product Specifications
| 항목 | 내용 |
|---|---|
| Species Reactivity | Human |
| Host / Isotype | Goat / IgG |
| Class | Polyclonal |
| Type | Secondary Antibody |
| Immunogen | Gamma Immunoglobulin Fc region |
| Conjugate | Unconjugated |
| Form | Liquid |
| Concentration | 2.5 mg/mL |
| Purification | Affinity chromatography |
| Storage Buffer | PBS, pH 7.2 |
| Contains | 0.05% sodium azide |
| Storage Conditions | Store at 4°C short term. For long term storage, store at -20°C, avoiding freeze/thaw cycles. |
| Shipping Conditions | Ambient (domestic); Wet ice (international) |
| RRID | AB_2535608 |
| Target | IgG Fc |
| Cross Adsorption | Against bovine, horse, mouse and rabbit serum proteins, as well as human IgA and IgM |
| Antibody Form | Whole Antibody |
Target Information
Anti-Human secondary antibodies are affinity-purified antibodies with well-characterized specificity for human immunoglobulins and are useful in the detection, sorting, or purification of their specified targets. Secondary antibodies offer increased versatility, enabling users to use many detection systems (e.g., HRP, AP, fluorescence). They can also provide greater sensitivity through signal amplification, as multiple secondary antibodies can bind to a single primary antibody. Most commonly, secondary antibodies are generated by immunizing the host animal with a pooled population of immunoglobulins from the target species and can be further purified and modified (i.e., immunoaffinity chromatography, antibody fragmentation, label conjugation, etc.) to generate highly specific reagents.
For Research Use Only. Not for use in diagnostic procedures. Not for resale without express authorization.
🏷️Thermo Fisher Scientific 상품 둘러보기
동일 브랜드의 다른 상품들을 확인해보세요

Thermo Fisher Scientific
Thermo Fisher Scientific Goat anti-Human IgG Fc Highly Cross-Adsorbed Secondary Antibody, AP
373,500원

Thermo Fisher Scientific
Thermo Fisher Scientific Goat anti-Human IgG Fc Highly Cross-Adsorbed Secondary Antibody, TRITC
194,600원

Thermo Fisher Scientific
Thermo Fisher Scientific Goat anti-Human IgG Fc Highly Cross-Adsorbed Secondary Antibody
167,200원

Thermo Fisher Scientific
Thermo Fisher Scientific Goat anti-Human IgG Fc Highly Cross-Adsorbed Secondary Antibody, FITC
166,200원

Thermo Fisher Scientific
Thermo Fisher Scientific Goat anti-Human IgG Fc Highly Cross-Adsorbed Secondary Antibody, HRP
249,300원
배송/결제/교환/반품 안내
배송 정보
| 기본 배송비 |
| 교환/반품 배송비 |
|
|---|---|---|---|
| 착불 배송비 |
| ||
| 교환/반품 배송비 |
| ||
결제 및 환불 안내
| 결제수단 |
|
|---|---|
| 취소 |
|
| 반품 |
|
| 환급 |
|
교환 및 반품 접수
| 교환 및 반품 접수 기한 |
|
|---|---|
| 교환 및 반품 접수가 가능한 경우 |
|
| 교환 및 반품 접수가 불가능한 경우 |
|
교환 및 반품 신청
| 교환 절차 |
|
|---|---|
| 반품 절차 |
|