
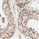
Merck Anti-SNN antibody produced in rabbit
✨AI 추천 연관 상품
AI가 분석한 이 상품과 연관된 추천 상품들을 확인해보세요
연관 상품을 찾고 있습니다...
Anti-SNN antibody produced in rabbit
Prestige Antibodies® Powered by Atlas Antibodies, affinity isolated antibody, buffered aqueous glycerol solution
Anti-AG8_1, Anti-Stannin
생물학적 소스
rabbit
Quality Level
결합
unconjugated
항체 형태
affinity isolated antibody
antibody product type
primary antibodies
클론
polyclonal
제품 라인
Prestige Antibodies® Powered by Atlas Antibodies
form
buffered aqueous glycerol solution
species reactivity
human
포장
antibody small pack of 25 μL
technique(s)
immunohistochemistry: 1:50- 1:200
면역원 서열
EDEESIVGDGETKEPFLLVQYSAKGPCVERKAKLMTPNGPEV
UniProt 수납 번호
배송 상태
wet ice
저장 온도
−20°C
Gene Information
human ... SNN(8303)
SNN (stannin) is a mitochondrial membrane protein, which has a membrane helical region, a linker region containing conserved CXC metal-binding motif, a predictive 14-3-3ζ binding domain and a cytosolic helical region. This gene is localized to human chromosome 16p13, and has an open readin frame of 264bp. The mRNA of SNN is present in hippocampus, neocortex, cerebellum, striatum, midbrain, lung, spleen and kidney, and is absent in heart, liver, skeletal muscle and testis. This protein is made of 88 amino acids and has a molecular weight of 10kDa.
🏷️Merck Sigma 상품 둘러보기
동일 브랜드의 다른 상품들을 확인해보세요

Merck Sigma
Merck Anti-VPS9D1 antibody produced in rabbit
895,700원

Merck Sigma
Merck Anti-KIDINS220 antibody produced in rabbit
895,700원

Merck Sigma
Merck Anti-SNN antibody produced in rabbit
895,700원

Merck Sigma
Merck Anti-TNFRSF14 antibody produced in rabbit
895,700원

Merck Sigma
Merck Anti-MCPH1 antibody produced in rabbit
370,530원
배송/결제/교환/반품 안내
배송 정보
| 기본 배송비 |
| 교환/반품 배송비 |
|
|---|---|---|---|
| 착불 배송비 |
| ||
| 교환/반품 배송비 |
| ||
결제 및 환불 안내
| 결제수단 |
|
|---|---|
| 취소 |
|
| 반품 |
|
| 환급 |
|
교환 및 반품 접수
| 교환 및 반품 접수 기한 |
|
|---|---|
| 교환 및 반품 접수가 가능한 경우 |
|
| 교환 및 반품 접수가 불가능한 경우 |
|
교환 및 반품 신청
| 교환 절차 |
|
|---|---|
| 반품 절차 |
|
