
Merck Anti-EQTN antibody produced in rabbit
토끼에서 생산된 Anti-EQTN 항체로, human EQTN 단백질을 인식하는 polyclonal 항체입니다. Prestige Antibodies® 라인 제품으로, immunohistochemistry 및 western blot에 적합합니다. −20°C에서 보관하며, glycerol 완충 용액 형태로 제공됩니다.
✨AI 추천 연관 상품
AI가 분석한 이 상품과 연관된 추천 상품들을 확인해보세요
연관 상품을 찾고 있습니다...
Anti-EQTN antibody produced in rabbit
제품 개요
Prestige Antibodies® Powered by Atlas Antibodies 시리즈의 affinity isolated primary antibody로, buffered aqueous glycerol solution 형태의 토끼 유래 polyclonal 항체입니다.
제품 사양
| 항목 | 내용 |
|---|---|
| 생물학적 소스 | Rabbit |
| Quality Level | 100 |
| 결합 형태 | Unconjugated |
| 항체 형태 | Affinity isolated antibody |
| 항체 타입 | Primary antibodies |
| 클론 | Polyclonal |
| 제품 라인 | Prestige Antibodies® Powered by Atlas Antibodies |
| 형태(Form) | Buffered aqueous glycerol solution |
| Species Reactivity | Human |
| 포장 단위 | 25 μL (small pack) |
| 향상된 검증(Enhanced Validation) | Independent, recombinant expression, orthogonal RNAseq |
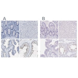
| 적용 기술(Techniques) | Immunohistochemistry: 1:200–1:500 Western blot: 0.04–0.4 μg/mL |
| 면역원 서열(Immunogen sequence) | SCESQYSVNPELATMSYFHPSEGVSDTSFSKSAESSTFLGTTSSDMRRSGTRTSESKIMTDIISIGSDNEMHENDESVTR |
| 배송 상태 | Wet ice |
| 저장 온도 | −20°C |
유전자 정보
Gene: human C9orf11 (EQTN)
EQTN (equatorin)은 인간 염색체 9p21에 위치하며, 알려진 다른 유전자나 단백질과 유사성이 없습니다. 약 13 kb 길이이며 8개의 엑손을 포함합니다. 294개의 아미노산으로 구성된 단백질을 암호화하며, 분자량은 약 32.8 kDa입니다. C-말단에 leucine zipper 구조를 가지며, 주로 고환(testis)에서 발현됩니다. 또한 Afaf (acrosome formation associated factor)로도 알려져 있습니다.
🏷️Merck Sigma 상품 둘러보기
동일 브랜드의 다른 상품들을 확인해보세요

Merck Sigma
Merck Anti-LTA antibody produced in rabbit
793,800원

Merck Sigma
Merck Anti-SPATA9 antibody produced in rabbit
895,700원

Merck Sigma
Merck Anti-EQTN antibody produced in rabbit
895,700원

Merck Sigma
Merck Anti-CHRM1 antibody produced in rabbit
370,530원

Merck Sigma
Merck Anti-FAM98B antibody produced in rabbit
895,700원
배송/결제/교환/반품 안내
배송 정보
| 기본 배송비 |
| 교환/반품 배송비 |
|
|---|---|---|---|
| 착불 배송비 |
| ||
| 교환/반품 배송비 |
| ||
결제 및 환불 안내
| 결제수단 |
|
|---|---|
| 취소 |
|
| 반품 |
|
| 환급 |
|
교환 및 반품 접수
| 교환 및 반품 접수 기한 |
|
|---|---|
| 교환 및 반품 접수가 가능한 경우 |
|
| 교환 및 반품 접수가 불가능한 경우 |
|
교환 및 반품 신청
| 교환 절차 |
|
|---|---|
| 반품 절차 |
|