
Merck Anti-RASGRF2 antibody produced in rabbit
✨AI 추천 연관 상품
AI가 분석한 이 상품과 연관된 추천 상품들을 확인해보세요
연관 상품을 찾고 있습니다...
Anti-RASGRF2 antibody produced in rabbit
Prestige Antibodies® Powered by Atlas Antibodies, affinity isolated antibody, buffered aqueous glycerol solution
Anti-Ras guanine nucleotide exchange factor 2, Anti-Ras-GRF2, Anti-Guanine nucleotide-releasing factor 2, Anti-Ras-specific guanine nucleotide-releasing factor 2
생물학적 소스
rabbit
Quality Level
결합
unconjugated
항체 형태
affinity isolated antibody
antibody product type
primary antibodies
클론
polyclonal
제품 라인
Prestige Antibodies® Powered by Atlas Antibodies
form
buffered aqueous glycerol solution
species reactivity
human
포장
antibody small pack of 25 μL
technique(s)
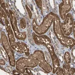
immunohistochemistry: 1:50- 1:200
면역원 서열
FATSQNNRGEHLVDGKSPRLCRKFSSPPPLAVSRTSSPVRARKLSLTSPLNSKIGALDLTTSSSPTTTTQSPAASPPPHTGQIPLDLSRGLSSPEQSPGTVEENVD
UniProt 수납 번호
배송 상태
wet ice
저장 온도
−20°C
Gene Information
human ... RASGRF2(5924)
The gene Ras-specific guanine nucleotide-releasing factor-2 (RASGRF2) is mapped to human chromosome 5q13. It belongs to a family of calcium/calmodulin-regulated guanine-nucleotide exchange factors. RASGRF2 transcripts are abundantly expressed in human brain tissue. Low levels of RASGRF2 are also detected in human heart, placenta, kidney, pancreas, human ovary and spleen tissues. The protein localizes to the cytoplasm. However, depending upon the interaction partner it can translocate to the cell periphery. RasGRF2 protein contains two pleckstrin homology (PH) regions, a coiled-coil motif, a Ca2+/calmodulin binding ilimaquinone (IQ) domain, a Dbl homology (DH) region and the prototypical Cdc25 (Ras-specific guanine nucleotide-releasing factor 1) Ras exchange domain.
🏷️Merck Sigma 상품 둘러보기
동일 브랜드의 다른 상품들을 확인해보세요

Merck Sigma
Merck Anti-NLE1 antibody produced in rabbit
370,530원

Merck Sigma
Merck Anti-CIDEC antibody produced in rabbit
895,700원

Merck Sigma
Merck Anti-RASGRF2 antibody produced in rabbit
895,600원

Merck Sigma
Merck Anti-FOS antibody produced in rabbit
370,530원

Merck Sigma
Merck Anti-ANGPT1 antibody produced in rabbit
370,530원
배송/결제/교환/반품 안내
배송 정보
| 기본 배송비 |
| 교환/반품 배송비 |
|
|---|---|---|---|
| 착불 배송비 |
| ||
| 교환/반품 배송비 |
| ||
결제 및 환불 안내
| 결제수단 |
|
|---|---|
| 취소 |
|
| 반품 |
|
| 환급 |
|
교환 및 반품 접수
| 교환 및 반품 접수 기한 |
|
|---|---|
| 교환 및 반품 접수가 가능한 경우 |
|
| 교환 및 반품 접수가 불가능한 경우 |
|
교환 및 반품 신청
| 교환 절차 |
|
|---|---|
| 반품 절차 |
|
