
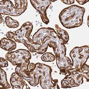
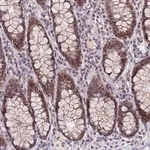
Merck Anti-KIF7 antibody produced in rabbit
상품 한눈에 보기
토끼에서 생산된 Anti-KIF7 항체로, 인간 KIF7 단백질을 특이적으로 인식하는 polyclonal 1차 항체입니다. Prestige Antibodies® 제품으로 면역조직화학에 적합하며, −20°C에서 보관합니다. 비결합형, glycerol 완충 수용액 형태로 제공됩니다.
브랜드: Merck Sigma
✨AI 추천 연관 상품
AI가 분석한 이 상품과 연관된 추천 상품들을 확인해보세요
연관 상품을 찾고 있습니다...
Anti-KIF7 antibody produced in rabbit
Prestige Antibodies® Powered by Atlas Antibodies
Affinity isolated antibody, buffered aqueous glycerol solution
Aliases: Anti-Kinesin Family Member 7, Anti-JBTS12
제품 정보
| 항목 | 내용 |
|---|---|
| 생물학적 소스 | Rabbit |
| Quality Level | 100 |
| 결합 | Unconjugated |
| 항체 형태 | Affinity isolated antibody |
| Antibody product type | Primary antibodies |
| 클론 | Polyclonal |
| 제품 라인 | Prestige Antibodies® Powered by Atlas Antibodies |
| 형태(Form) | Buffered aqueous glycerol solution |
| Species reactivity | Human |
| 포장 | Antibody small pack of 25 μL |
| 기술(technique) | Immunohistochemistry: 1:500–1:1000 |
| 면역원 서열 | MWINQELKQKLGGVNAVGHSRGGEKRSLCSEGRQAPGNEDELHLAPELLWLSPLTEGAPRTREETRDLVHAPLPLTWKRSSLCGEEQGSPEELRQREAAEPLVGRVLPVGE |
| UniProt 수납 번호 | Q2M1P5 |
| 배송 상태 | Wet ice |
| 저장 온도 | −20 °C |
| Gene Information | Human KIF7 (374654) |
Gene Description
The kinesin family member 7 (KIF7) gene, with 19 exons, is mapped to human chromosome 15q26.1.
KIF7 is the paralog of the KIF27 gene. The encoded protein consists of 1343 amino acids and is characterized by a kinesin motor domain, coiled-coil region, and cargo domain.
🏷️Merck Sigma 상품 둘러보기
동일 브랜드의 다른 상품들을 확인해보세요

Merck Sigma
Merck Anti-NSMCE1 antibody produced in rabbit
895,700원

Merck Sigma
Merck Anti-OSBPL1A antibody produced in rabbit
895,700원

Merck Sigma
Merck Anti-KIF7 antibody produced in rabbit
895,700원

Merck Sigma
Merck Anti-THAP5 antibody produced in rabbit
895,700원

Merck Sigma
Merck Anti-C5orf63 antibody produced in rabbit
895,700원
배송/결제/교환/반품 안내
배송 정보
| 기본 배송비 |
| 교환/반품 배송비 |
|
|---|---|---|---|
| 착불 배송비 |
| ||
| 교환/반품 배송비 |
| ||
결제 및 환불 안내
| 결제수단 |
|
|---|---|
| 취소 |
|
| 반품 |
|
| 환급 |
|
교환 및 반품 접수
| 교환 및 반품 접수 기한 |
|
|---|---|
| 교환 및 반품 접수가 가능한 경우 |
|
| 교환 및 반품 접수가 불가능한 경우 |
|
교환 및 반품 신청
| 교환 절차 |
|
|---|---|
| 반품 절차 |
|
문의 0
로그인 후 문의를 할 수 있습니다.