
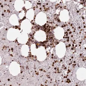
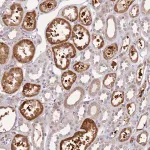
Merck Anti-RESP18 antibody produced in rabbit
상품 한눈에 보기
토끼에서 생산된 Anti-RESP18 항체로, 인간 RESP18 단백질을 특이적으로 인식합니다. Prestige Antibodies® 제품으로 높은 품질 수준(100)을 보장합니다. 면역조직화학(IHC)에 사용 가능하며, −20°C에서 보관합니다.
브랜드: Merck Sigma
✨AI 추천 연관 상품
AI가 분석한 이 상품과 연관된 추천 상품들을 확인해보세요
연관 상품을 찾고 있습니다...
Anti-RESP18 antibody produced in rabbit
제품 개요
Prestige Antibodies® Powered by Atlas Antibodies
Affinity isolated antibody, buffered aqueous glycerol solution
Anti-Regulated Endocrine-Specific Protein 18 Homolog (Rat)
생물학적 정보
RESP18 (Regulated Endocrine-Specific Protein 18)은 내분비 분비 단백질 전사체로, 약 18 kDa 크기이며 800개 정도의 뉴클레오타이드로 구성됩니다. 전뇌하수체에서 풍부하게 발현되며, 시상하부 및 기타 뇌 영역에서도 높은 수준으로 존재합니다. IA-2 (islet associated protein 2)와 진화적으로 관련되어 있으며, IA-2 패밀리에 속합니다. 유전자는 염색체 2q35에 위치합니다.
제품 스펙
| 항목 | 내용 |
|---|---|
| 생물학적 소스 | Rabbit |
| 품질 등급 | 100 |
| 결합 형태 | Unconjugated |
| 항체 형태 | Affinity isolated antibody |
| 항체 유형 | Primary antibodies |
| 클론 | Polyclonal |
| 제품 라인 | Prestige Antibodies® Powered by Atlas Antibodies |
| 제형 | Buffered aqueous glycerol solution |
| 반응 종 | Human |
| 포장 | 25 μL (Small pack) |
| 적용 기술 | Immunohistochemistry (IHC): 1:50–1:200 |
| 면역원 서열 | PTKTTESPLAKVNRDQCFTSEVVSKALKQEVANPVKITYRCSYGGLDMMQAPGPSKEEIIYKIMRLLWATS |
| UniProt 번호 | Q5W5W9 |
| 배송 상태 | Wet ice |
| 저장 온도 | −20°C |
| 유전자 정보 | Human RESP18 (Gene ID: 389075) |
🏷️Merck Sigma 상품 둘러보기
동일 브랜드의 다른 상품들을 확인해보세요

Merck Sigma
Merck Anti-GABRE antibody produced in rabbit
370,530원

Merck Sigma
Merck Anti-TUBAL3 antibody produced in rabbit
370,530원

Merck Sigma
Merck Anti-RESP18 antibody produced in rabbit
370,530원

Merck Sigma
Merck Anti-NMUR2 antibody produced in rabbit
370,530원

Merck Sigma
Merck Anti-LMNTD1 antibody produced in rabbit
370,530원
배송/결제/교환/반품 안내
배송 정보
| 기본 배송비 |
| 교환/반품 배송비 |
|
|---|---|---|---|
| 착불 배송비 |
| ||
| 교환/반품 배송비 |
| ||
결제 및 환불 안내
| 결제수단 |
|
|---|---|
| 취소 |
|
| 반품 |
|
| 환급 |
|
교환 및 반품 접수
| 교환 및 반품 접수 기한 |
|
|---|---|
| 교환 및 반품 접수가 가능한 경우 |
|
| 교환 및 반품 접수가 불가능한 경우 |
|
교환 및 반품 신청
| 교환 절차 |
|
|---|---|
| 반품 절차 |
|
문의 0
로그인 후 문의를 할 수 있습니다.