
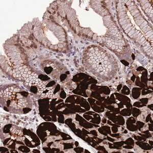
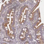
Merck Anti-ZNF665 antibody produced in rabbit
토끼에서 생산된 Anti-ZNF665 항체로 인간 ZNF665 단백질을 인식합니다. Prestige Antibodies® 시리즈의 친화 정제된 폴리클로날 항체입니다. 면역형광 및 면역조직화학에 적합하며, −20°C에서 보관합니다.
✨AI 추천 연관 상품
AI가 분석한 이 상품과 연관된 추천 상품들을 확인해보세요
연관 상품을 찾고 있습니다...
Anti-ZNF665 antibody produced in rabbit
Prestige Antibodies® Powered by Atlas Antibodies
Affinity isolated antibody, buffered aqueous glycerol solution
Also known as: Anti-FLJ14345, Anti-zinc finger protein 665
제품 정보
| 항목 | 내용 |
|---|---|
| 생물학적 소스 | Rabbit |
| Quality Level | 100 |
| 결합 | Unconjugated |
| 항체 형태 | Affinity isolated antibody |
| Antibody Product Type | Primary antibodies |
| 클론 | Polyclonal |
| 제품 라인 | Prestige Antibodies® Powered by Atlas Antibodies |
| 형태(Form) | Buffered aqueous glycerol solution |
| Species Reactivity | Human |
| 포장 | Antibody small pack of 25 μL |
| Technique(s) | Immunofluorescence: 0.25–2 μg/mL Immunohistochemistry: 1:500–1:1000 |
| 면역원 서열 | VSLDISCKCVNTDLPPKGKNNMGEAFYTVKLERLESCDTVGLSFQEVQKNTYDFECQWKDD |
| UniProt 수납 번호 | Q9H7R5 |
| 배송 상태 | Wet ice |
| 저장 온도 | −20 °C |
Gene Information
Human ZNF665 (79788)
The gene ZNF665 (zinc finger protein 665) is located on human chromosome 19. It belongs to the zinc finger protein family, characterized by a conserved zinc finger motif of 28–30 amino acids and a KRAB domain. These proteins are involved in various cellular processes such as DNA recognition, RNA packaging, transcriptional activation, apoptosis regulation, protein folding and assembly, and lipid binding.
🏷️Merck Sigma 상품 둘러보기
동일 브랜드의 다른 상품들을 확인해보세요

Merck Sigma
Merck Anti-PCTP antibody produced in rabbit
895,700원

Merck Sigma
Merck Anti-TSGA13 antibody produced in rabbit
895,700원

Merck Sigma
Merck Anti-ZNF665 antibody produced in rabbit
895,700원

Merck Sigma
Merck Anti-ZBTB5 antibody produced in rabbit
370,530원

Merck Sigma
Merck Anti-NPEPPS antibody produced in rabbit
370,530원
배송/결제/교환/반품 안내
배송 정보
| 기본 배송비 |
| 교환/반품 배송비 |
|
|---|---|---|---|
| 착불 배송비 |
| ||
| 교환/반품 배송비 |
| ||
결제 및 환불 안내
| 결제수단 |
|
|---|---|
| 취소 |
|
| 반품 |
|
| 환급 |
|
교환 및 반품 접수
| 교환 및 반품 접수 기한 |
|
|---|---|
| 교환 및 반품 접수가 가능한 경우 |
|
| 교환 및 반품 접수가 불가능한 경우 |
|
교환 및 반품 신청
| 교환 절차 |
|
|---|---|
| 반품 절차 |
|