
Merck Anti-DNA G-quadruplex structures Antibody, clone BG4
✨AI 추천 연관 상품
AI가 분석한 이 상품과 연관된 추천 상품들을 확인해보세요
연관 상품을 찾고 있습니다...
Anti-DNA G-quadruplex structures Antibody, clone BG4
clone BG4, from Escherichia coli
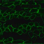
DNA G-quadruplex (BG4)
DNA G-quadruplex structures are associated with a number of important aspects of genome function, which include transcription, recombination and replication. Single-stranded guanine (G)-rich DNA can form stable secondary structures called G-quadruplexes (G-tetrads or G4), which can influence methylation at CpG islands (CGIs). G4 structure is reported to be tightly associated with CGI hypomethylation in the human genome. Four guanine bases can associate through Hoogsteen hydrogen bonding to form a square planar structure called a guanine tetrad (G-tetrad), and two or more G-tetrads can stack on top of each other to form a G-quadruplex. The quadruplex structure is further stabilized by the presence of a cation, especially potassium, which sits in a central channel between each pair of tetrads. A DNA G-tetrad can be formed within one DNA strand (intramolecular), between two DNA strands (bimolecular), or four DNA strands (tetramolecular). G4 DNA can arise anywhere in the genome where sufficiently long stretches of single-stranded G-rich DNA are exposed during replication, transcription or recombination. Chemical analysis of quadruplex-forming oligonucleotides has revealed the existence of a plethora of dynamic quadruplex structures with varying stabilities. The diverse nature of G4 DNA structures makes it an attractive topic in molecular biomedical research.(Ref.: Mao, SQ et al., (2018). Nat. Struc. Mol. Biol. 25(10); 951-957).
🏷️Merck Sigma 상품 둘러보기
동일 브랜드의 다른 상품들을 확인해보세요

Merck Sigma
Merck Anti-γ-Tubulin antibody, Mouse monoclonal
278,100원

Merck Sigma
Merck Anti-Connexin-43 antibody produced in rabbit
278,100원

Merck Sigma
Merck Anti-DNA G-quadruplex structures Antibody, clone BG4
486,900원

Merck Sigma
Merck Anti-LC3 antibody produced in rabbit
1,072,110원

Merck Sigma
Merck Anti-Laminin-2 (α-2 Chain) antibody, Rat monoclonal
269,000원
배송/결제/교환/반품 안내
배송 정보
| 기본 배송비 |
| 교환/반품 배송비 |
|
|---|---|---|---|
| 착불 배송비 |
| ||
| 교환/반품 배송비 |
| ||
결제 및 환불 안내
| 결제수단 |
|
|---|---|
| 취소 |
|
| 반품 |
|
| 환급 |
|
교환 및 반품 접수
| 교환 및 반품 접수 기한 |
|
|---|---|
| 교환 및 반품 접수가 가능한 경우 |
|
| 교환 및 반품 접수가 불가능한 경우 |
|
교환 및 반품 신청
| 교환 절차 |
|
|---|---|
| 반품 절차 |
|
