
Merck Anti-LGMN antibody produced in rabbit
상품 한눈에 보기
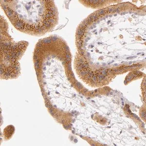
Rabbit에서 생산된 Anti-LGMN 항체로, 인간 시료에 반응하며 immunofluorescence 및 immunohistochemistry에 적합합니다. Prestige Antibodies® 라인 제품으로, affinity isolated 형태이며 −20°C에서 보관합니다.
브랜드: Merck Sigma
✨AI 추천 연관 상품
AI가 분석한 이 상품과 연관된 추천 상품들을 확인해보세요
연관 상품을 찾고 있습니다...
Anti-LGMN antibody produced in rabbit
Prestige Antibodies® Powered by Atlas Antibodies
Affinity isolated antibody, buffered aqueous glycerol solution
제품 개요
LGMN (legumain)은 cysteine lysosomal endoprotease로, 특정 aspartate 또는 asparagine 잔기에서 기질을 절단합니다. 주로 태반과 신장에서 발현되며, 뇌, 심장, 간, 비장, 고환에서도 발견됩니다. Caspase 유사 구조를 가지며, 중심의 6가닥 β-sheet(β1–β6)와 5개의 주요 α-helix(α1–α5)로 구성됩니다. 활성형은 단량체이며, 산성 pH에서 자동 촉매적으로 활성화됩니다. 유전자는 염색체 14q32.1에 위치합니다.
제품 사양
| 항목 | 내용 |
|---|---|
| 생물학적 소스 | Rabbit |
| Quality Level | 100 |
| 결합 | Unconjugated |
| 항체 형태 | Affinity isolated antibody |
| Antibody Product Type | Primary antibodies |
| 클론 | Polyclonal |
| 제품 라인 | Prestige Antibodies® Powered by Atlas Antibodies |
| 형태 | Buffered aqueous glycerol solution |
| Species Reactivity | Human |
| 포장 | 25 μL (small pack) |
| 향상된 검증 | Orthogonal RNAseq |
| Technique(s) | Immunofluorescence: 0.25–2 μg/mL Immunohistochemistry: 1:20–1:50 |
| 면역원 서열 | QGMKRKASSPVPLPPVTHLDLTPSPDVPLTIMKRKLMNTNDLEESRQLTEEIQRHLDARHLIEKSVRKIVSLLAASEAEVEQLLSERAPLTGHSCYPEALLHFRTHCFNWHSPTYEYALRHLYVLVNLCEKPYPLHRIKLSMDHVCLGHY |
| UniProt 수납 번호 | Q99538 |
| 배송 상태 | Wet ice |
| 저장 온도 | −20°C |
| Gene Information | Human LGMN (5641) |
참고 자료
🏷️Merck Sigma 상품 둘러보기
동일 브랜드의 다른 상품들을 확인해보세요

Merck Sigma
Merck Anti-LYN antibody produced in rabbit
793,800원

Merck Sigma
Merck Anti-SYN1 antibody produced in rabbit
817,800원

Merck Sigma
Merck Anti-LGMN antibody produced in rabbit
370,530원

Merck Sigma
Merck Anti-LZTS1 antibody produced in rabbit
895,700원

Merck Sigma
Merck ANTI-MAGEB1 antibody produced in rabbit
895,700원
배송/결제/교환/반품 안내
배송 정보
| 기본 배송비 |
| 교환/반품 배송비 |
|
|---|---|---|---|
| 착불 배송비 |
| ||
| 교환/반품 배송비 |
| ||
결제 및 환불 안내
| 결제수단 |
|
|---|---|
| 취소 |
|
| 반품 |
|
| 환급 |
|
교환 및 반품 접수
| 교환 및 반품 접수 기한 |
|
|---|---|
| 교환 및 반품 접수가 가능한 경우 |
|
| 교환 및 반품 접수가 불가능한 경우 |
|
교환 및 반품 신청
| 교환 절차 |
|
|---|---|
| 반품 절차 |
|
문의 0
로그인 후 문의를 할 수 있습니다.