
Merck Anti-FAM213A antibody produced in rabbit
Rabbit에서 생산된 Anti-FAM213A polyclonal antibody로, Prestige Antibodies® Powered by Atlas Antibodies 제품입니다. Human 및 rat 시료에 반응하며, immunoblotting과 immunohistochemistry에 적합합니다. Affinity isolated 형태로 −20°C에서 보관합니다.
✨AI 추천 연관 상품
AI가 분석한 이 상품과 연관된 추천 상품들을 확인해보세요
연관 상품을 찾고 있습니다...
Anti-FAM213A antibody produced in rabbit
제품 개요
Prestige Antibodies® Powered by Atlas Antibodies
Affinity isolated antibody, buffered aqueous glycerol solution
생물학적 정보
| 항목 | 내용 |
|---|---|
| 생물학적 소스 | Rabbit |
| 클론 | Polyclonal |
| 항체 형태 | Affinity isolated antibody |
| 결합 | Unconjugated |
| 제품 라인 | Prestige Antibodies® Powered by Atlas Antibodies |
| 형태 | Buffered aqueous glycerol solution |
| 항체 유형 | Primary antibody |
| Species Reactivity | Human, Rat |
| 포장 | 25 μL (small pack) |
| Quality Level | 100 |
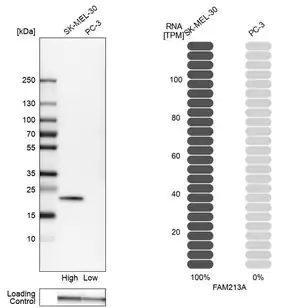
| 향상된 검증 | Orthogonal RNAseq |
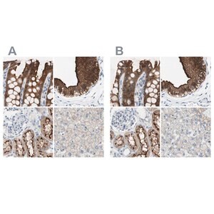
| Technique(s) | Immunoblotting: 0.04–0.4 μg/mL Immunohistochemistry: 1:50–1:200 |
| 면역원 서열 | NTDVFLSKPQKAALEYLEDIDLKTLEKEPRTFKAKELWEKNGAVIMAVRRPGCFLCREEAADLSSLKSMLDQLGVPLYAVVKEHIRTEVKDFQPYFKGE |
| 배송 상태 | Wet ice |
| 저장 온도 | −20°C |
| Gene Information | Human C10orf58 (84293) |
유전자 및 단백질 정보
FAM213A (family with sequence similarity 213 member A)는 peroxiredoxin-like 단백질로, CXXC motif를 포함합니다.
M-CSF(macrophage-colony stimulating factor) 및 RANKL(receptor activator of nuclear factor κ-B ligand)에 의해 자극받은 골수 단핵구에서 발현되며, PAMM(peroxiredoxin-like 2 activated in M-CSF stimulated monocytes)으로도 알려져 있습니다.
또한 뇌, 간, 신장에서도 발현됩니다.
🏷️Merck Sigma 상품 둘러보기
동일 브랜드의 다른 상품들을 확인해보세요

Merck Sigma
Merck Anti-ZAP70 antibody produced in rabbit
793,800원

Merck Sigma
Merck Anti-USP2 antibody produced in rabbit
370,530원

Merck Sigma
Merck Anti-FAM213A antibody produced in rabbit
370,530원

Merck Sigma
Merck Anti-USP28 antibody produced in rabbit
370,530원

Merck Sigma
Merck Anti-VIL1 antibody produced in rabbit
370,530원
배송/결제/교환/반품 안내
배송 정보
| 기본 배송비 |
| 교환/반품 배송비 |
|
|---|---|---|---|
| 착불 배송비 |
| ||
| 교환/반품 배송비 |
| ||
결제 및 환불 안내
| 결제수단 |
|
|---|---|
| 취소 |
|
| 반품 |
|
| 환급 |
|
교환 및 반품 접수
| 교환 및 반품 접수 기한 |
|
|---|---|
| 교환 및 반품 접수가 가능한 경우 |
|
| 교환 및 반품 접수가 불가능한 경우 |
|
교환 및 반품 신청
| 교환 절차 |
|
|---|---|
| 반품 절차 |
|