
Merck Anti-TSPOAP1 antibody produced in rabbit
상품 한눈에 보기
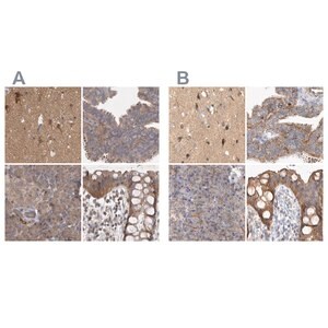
토끼에서 생산된 Anti-TSPOAP1 폴리클론 항체로, 인간 시료에 반응하며 면역조직화학(IHC)에 적합합니다. Prestige Antibodies® 라인 제품으로, 친화 정제된 항체 형태이며 −20°C에서 보관합니다. 뇌와 흉선에서 발현되는 BZRAP1 단백질 연구에 활용됩니다.
브랜드: Merck Sigma
✨AI 추천 연관 상품
AI가 분석한 이 상품과 연관된 추천 상품들을 확인해보세요
연관 상품을 찾고 있습니다...
Anti-TSPOAP1 antibody produced in rabbit
제품 개요
Prestige Antibodies® Powered by Atlas Antibodies 시리즈의 친화 정제 항체로, buffered aqueous glycerol solution 형태로 제공됩니다.
본 항체는 인간 시료에 반응하며 면역조직화학(IHC) 실험에 적합합니다.
생물학적 정보
- Source: Rabbit
- Type: Primary antibody (polyclonal)
- Conjugation: Unconjugated
- Form: Buffered aqueous glycerol solution
- Species Reactivity: Human
- Product Line: Prestige Antibodies® Powered by Atlas Antibodies
- Packaging: 25 μL small pack
스펙 정보
| 항목 | 내용 |
|---|---|
| Quality Level | 100 |
| Antibody Form | Affinity isolated antibody |
| Technique(s) | Immunohistochemistry: 1:20–1:50 |
| Enhanced Validation | Independent |
| Immunogen Sequence | RTASTSTLGEKDPGPAAPSLAKQEAEWTAGEACPASSSTQGARAQQAPNTEMCQGGDPGSGLRPRAEKEDTAELGVHLVNSLVDHGRNSDLSD |
| Shipping Condition | Wet ice |
| Storage Temperature | −20°C |
유전자 정보
Gene: human BZRAP1 (9256)
BZRAP1 (benzodiazepine receptor (peripheral) associated protein 1) 유전자는 인간 염색체 17q22–q23에 위치합니다.
mRNA는 주로 중추신경계, 뇌하수체, 흉선에서 발현되며, 단백질은 뇌와 흉선에 존재합니다.
세포질과 미토콘드리아에 위치하며, 3개의 프롤린-풍부 도메인, 3개의 류신-지퍼 모티프, 그리고 Src homology region 3-like 도메인을 포함합니다.
🏷️Merck Sigma 상품 둘러보기
동일 브랜드의 다른 상품들을 확인해보세요

Merck Sigma
Merck Anti-LPCAT1 antibody produced in rabbit
895,700원

Merck Sigma
Merck Anti-DNAJC24 antibody produced in rabbit
895,700원

Merck Sigma
Merck Anti-TSPOAP1 antibody produced in rabbit
895,600원

Merck Sigma
Merck Anti-DFFA antibody produced in rabbit
817,800원

Merck Sigma
Merck Anti-EIF4G3 antibody produced in rabbit
895,700원
배송/결제/교환/반품 안내
배송 정보
| 기본 배송비 |
| 교환/반품 배송비 |
|
|---|---|---|---|
| 착불 배송비 |
| ||
| 교환/반품 배송비 |
| ||
결제 및 환불 안내
| 결제수단 |
|
|---|---|
| 취소 |
|
| 반품 |
|
| 환급 |
|
교환 및 반품 접수
| 교환 및 반품 접수 기한 |
|
|---|---|
| 교환 및 반품 접수가 가능한 경우 |
|
| 교환 및 반품 접수가 불가능한 경우 |
|
교환 및 반품 신청
| 교환 절차 |
|
|---|---|
| 반품 절차 |
|
문의 0
로그인 후 문의를 할 수 있습니다.