
Thermo Fisher Scientific Rabbit anti-Rat IgG (H+L) Cross-Adsorbed Secondary Antibody, Biotin
Thermo Fisher Scientific의 Rabbit anti-Rat IgG (H+L) Biotin 결합 2차 항체는 Rat IgG 검출용으로 제작된 고순도 폴리클로날 항체입니다. Western blot, ICC/IF, Flow Cytometry, ELISA 등 다양한 응용에 사용 가능하며, 높은 특이성과 감도를 제공합니다. 연구용으로만 사용됩니다.
✨AI 추천 연관 상품
AI가 분석한 이 상품과 연관된 추천 상품들을 확인해보세요
연관 상품을 찾고 있습니다...
Thermo Fisher Scientific Rabbit anti-Rat IgG (H+L) Cross-Adsorbed Secondary Antibody, Biotin
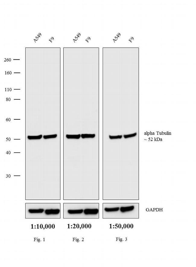
Applications and Tested Dilution
| Application | Tested Dilution |
|---|---|
| Western Blot (WB) | 1:10,000–1:50,000 |
| Immunocytochemistry (ICC/IF) | 1:500–1:20,000 |
| Flow Cytometry (Flow) | 1:500–1:20,000 |
| ELISA | 1:500–1:20,000 |
Product Specifications
| Specification | Description |
|---|---|
| Species Reactivity | Rat |
| Host / Isotype | Rabbit / IgG |
| Class | Polyclonal |
| Type | Secondary Antibody |
| Immunogen | Gamma Immunoglobins Heavy and Light chains |
| Conjugate | Biotin |
| Form | Liquid |
| Concentration | 2.5 mg/mL |
| Purification | Affinity chromatography |
| Storage Buffer | PBS, pH 7.2, with 1% BSA |
| Contains | 0.05% sodium azide |
| Storage Conditions | Store at 4°C short term; for long term store at -20°C, avoiding freeze/thaw cycles |
| Shipping Conditions | Ambient (domestic); Wet ice (international) |
| RRID | AB_2535700 |
| Target | IgG |
| Cross Adsorption | Against human serum proteins |
| Antibody Form | Whole Antibody |
Additional Formats
- Alexa Fluor 488 conjugate
- Alexa Fluor 594 conjugate
- HRP conjugate
- Custom conjugation available upon request
Target Information
Anti-Rat secondary antibodies are affinity-purified antibodies with well-characterized specificity for rat immunoglobulins. They are useful for detection, sorting, or purification of target proteins. Secondary antibodies enhance versatility and sensitivity by enabling multiple detection systems (HRP, AP, fluorescence) and signal amplification. These antibodies are typically generated by immunizing the host animal with pooled immunoglobulins from the target species and further purified or modified to produce highly specific reagents.
For Research Use Only. Not for use in diagnostic procedures. Not for resale without express authorization.
🏷️Thermo Fisher Scientific 상품 둘러보기
동일 브랜드의 다른 상품들을 확인해보세요

Thermo Fisher Scientific
Thermo Fisher Scientific ECS (DYKDDDDK) Tag Polyclonal Antibody
351,000원

Thermo Fisher Scientific
Thermo Fisher Scientific Myc Tag Polyclonal Antibody
351,000원

Thermo Fisher Scientific
Thermo Fisher Scientific Rabbit anti-Rat IgG (H+L) Cross-Adsorbed Secondary Antibody, Biotin
282,500원

Thermo Fisher Scientific
Thermo Fisher Scientific Rabbit anti-Rat IgG (H+L) Cross-Adsorbed Secondary Antibody
277,700원

Thermo Fisher Scientific
Thermo Fisher Scientific Rabbit anti-Rat IgG (H+L) Cross-Adsorbed Secondary Antibody, HRP
294,300원
배송/결제/교환/반품 안내
배송 정보
| 기본 배송비 |
| 교환/반품 배송비 |
|
|---|---|---|---|
| 착불 배송비 |
| ||
| 교환/반품 배송비 |
| ||
결제 및 환불 안내
| 결제수단 |
|
|---|---|
| 취소 |
|
| 반품 |
|
| 환급 |
|
교환 및 반품 접수
| 교환 및 반품 접수 기한 |
|
|---|---|
| 교환 및 반품 접수가 가능한 경우 |
|
| 교환 및 반품 접수가 불가능한 경우 |
|
교환 및 반품 신청
| 교환 절차 |
|
|---|---|
| 반품 절차 |
|