
Thermo Fisher Scientific Goat anti-Rat IgG (H+L) Secondary Antibody, HRP
HRP 결합 염소 항 랫트 IgG (H+L) 2차 항체로 Western blot, IHC, ELISA에 적합. 고감도 검출 및 낮은 비특이 반응. 친화 크로마토그래피로 정제된 폴리클로날 항체. 단기 4°C, 장기 -20°C 보관 권장.
✨AI 추천 연관 상품
AI가 분석한 이 상품과 연관된 추천 상품들을 확인해보세요
연관 상품을 찾고 있습니다...
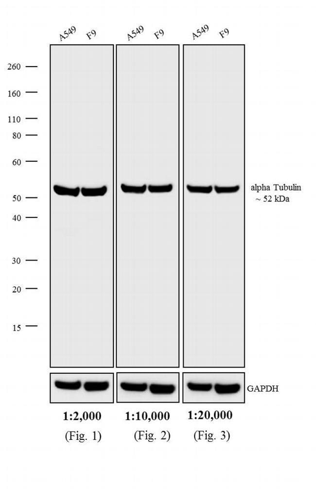
Applications and Tested Dilutions
| Application | Tested Dilution |
|---|---|
| Western Blot (WB) | 1:2,000–1:20,000 |
| Immunohistochemistry (IHC) | 1:500–1:20,000 |
| ELISA | 1:500–1:20,000 |
Product Specifications
| 항목 | 내용 |
|---|---|
| Species Reactivity | Rat |
| Host / Isotype | Goat / IgG |
| Class | Polyclonal |
| Type | Secondary Antibody |
| Immunogen | Gamma Immunoglobulins Heavy and Light chains |
| Conjugate | HRP |
| Form | Lyophilized |
| Concentration | 2.5 mg/mL |
| Purification | Affinity chromatography |
| Storage Buffer | PBS, pH 7.2, with 1% BSA |
| Contains | 0.1% ProClin 150 |
| Storage Conditions | Store at 4°C short term. For long term storage, store at -20°C, avoiding freeze/thaw cycles. |
| Shipping Conditions | Wet ice |
| RRID | AB_2535642 |
| Target | IgG |
| Antibody Form | Whole Antibody |
Additional Formats Available
- AP
- Biotin
- FITC
- NovaFluor Blue 510
- NovaFluor Blue 555
- NovaFluor Blue 585
- NovaFluor Blue 610-70S
- NovaFluor Blue 660-120S
- NovaFluor Yellow 590
- NovaFluor Yellow 610
- NovaFluor Yellow 660
- PE
- Rhodamine
- TRITC
- WesternDot 625
- Custom conjugation available upon request
Product Specific Information
- Each lot’s sensitivity is confirmed using ELISA, and specificity is verified by immunoelectrophoresis (IEP).
- Rehydrate with 1.1 mL of deionized water and let stand 30 minutes at room temperature to dissolve.
- Centrifuge to remove particulates and prepare fresh working dilution daily.
- Store lyophilized material at 2–8°C.
- For long-term storage after reconstitution, dilute with 50% glycerol and store at -20°C as liquid.
- Based on immunoelectrophoresis, no reactivity is observed to non-immunoglobulin rat serum proteins.
Target Information
Anti-Rat secondary antibodies are affinity-purified antibodies with well-characterized specificity for rat immunoglobulins. They are useful in detection, sorting, or purification of specified targets.
Secondary antibodies enable the use of multiple detection systems (e.g., HRP, AP, fluorescence) and enhance sensitivity through signal amplification.
These antibodies are generated by immunizing the host animal with pooled immunoglobulins from the target species and can be further purified or modified (e.g., immunoaffinity chromatography, fragmentation, label conjugation) to produce highly specific reagents.
For Research Use Only. Not for use in diagnostic procedures. Not for resale without express authorization.
🏷️Thermo Fisher Scientific 상품 둘러보기
동일 브랜드의 다른 상품들을 확인해보세요

Thermo Fisher Scientific
Thermo Fisher Scientific Goat anti-Rat IgG (H+L) Secondary Antibody
166,200원

Thermo Fisher Scientific
Thermo Fisher Scientific Goat anti-Rat IgG (H+L) Secondary Antibody, FITC
166,200원

Thermo Fisher Scientific
Thermo Fisher Scientific Goat anti-Rat IgG (H+L) Secondary Antibody, HRP
169,200원

Thermo Fisher Scientific
Thermo Fisher Scientific Goat anti-Human Kappa Light Chain Cross-Adsorbed Secondary Antibody, Biotin
654,000원

Thermo Fisher Scientific
Thermo Fisher Scientific Goat anti-Human Kappa Light Chain Cross-Adsorbed Secondary Antibody, HRP
531,800원
배송/결제/교환/반품 안내
배송 정보
| 기본 배송비 |
| 교환/반품 배송비 |
|
|---|---|---|---|
| 착불 배송비 |
| ||
| 교환/반품 배송비 |
| ||
결제 및 환불 안내
| 결제수단 |
|
|---|---|
| 취소 |
|
| 반품 |
|
| 환급 |
|
교환 및 반품 접수
| 교환 및 반품 접수 기한 |
|
|---|---|
| 교환 및 반품 접수가 가능한 경우 |
|
| 교환 및 반품 접수가 불가능한 경우 |
|
교환 및 반품 신청
| 교환 절차 |
|
|---|---|
| 반품 절차 |
|