
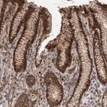
Merck Anti-ST6GALNAC6 antibody produced in rabbit
토끼에서 생산된 Anti-ST6GALNAC6 항체로, 인간 ST6GALNAC6 단백질을 인식하는 polyclonal 1차 항체입니다. Immunofluorescence 및 Immunohistochemistry에 적합하며, Prestige Antibodies® 라인으로 높은 특이성과 재현성을 제공합니다.
✨AI 추천 연관 상품
AI가 분석한 이 상품과 연관된 추천 상품들을 확인해보세요
연관 상품을 찾고 있습니다...
Anti-ST6GALNAC6 antibody produced in rabbit
제품 개요
Prestige Antibodies® Powered by Atlas Antibodies
Affinity isolated antibody, buffered aqueous glycerol solution
동의어:
Anti-hST6GalNAc VI, Anti-GalNAc alpha-2,6-sialyltransferase VI, Anti-Sialyltransferase 7F, Anti-ST6GalNAc VI, Anti-Alpha-N-acetylgalactosaminide alpha-2,6-sialyltransferase 6
제품 사양
| 항목 | 내용 |
|---|---|
| 생물학적 소스 | Rabbit |
| Quality Level | 100 |
| 결합 형태 | Unconjugated |
| 항체 형태 | Affinity isolated antibody |
| 항체 유형 | Primary antibody |
| 클론 | Polyclonal |
| 제품 라인 | Prestige Antibodies® Powered by Atlas Antibodies |
| 제형 | Buffered aqueous glycerol solution |
| Species Reactivity | Human |
| 포장 | 25 μL (antibody small pack) |
| 권장 사용법 | Immunofluorescence: 0.25–2 μg/mL Immunohistochemistry: 1:20–1:50 |
| 면역원 서열 | SRCHQCVIVSSSSHLLGTKLGPEIERAECTIRMNDAPTTGYSADVGNKTTYRVVAHSSVFRVLRRPQEFVNRTPETVFIFWGPPSKMQKPQGSLVRVIQRAGLVFPNMEAYAVSPGRMRQFDDLFRGETGKDREKSHSWLSTGWF |
| UniProt 수납 번호 | Q969X2 |
| 배송 상태 | Wet ice |
| 저장 온도 | −20 °C |
유전자 정보
Gene: ST6GALNAC6 (α-N-acetylgalactosaminide α-2,6-sialyltransferase-6)
Chromosomal location: Human chromosome 9q34.11
ST6GALNAC6 전사는 뇌, 대장, 심장, 신장, 간, 폐, 근육, 태반, 장, 비장, 위, 고환 등 다양한 조직에서 널리 발현됩니다.
🏷️Merck Sigma 상품 둘러보기
동일 브랜드의 다른 상품들을 확인해보세요

Merck Sigma
Merck Anti-FBXO42 antibody produced in rabbit
895,700원

Merck Sigma
Merck Anti-KIAA1217 antibody produced in rabbit
895,700원

Merck Sigma
Merck Anti-ST6GALNAC6 antibody produced in rabbit
895,600원

Merck Sigma
Merck Anti-KNTC1 antibody produced in rabbit
895,700원

Merck Sigma
Merck Anti-XKR6 antibody produced in rabbit
370,530원
배송/결제/교환/반품 안내
배송 정보
| 기본 배송비 |
| 교환/반품 배송비 |
|
|---|---|---|---|
| 착불 배송비 |
| ||
| 교환/반품 배송비 |
| ||
결제 및 환불 안내
| 결제수단 |
|
|---|---|
| 취소 |
|
| 반품 |
|
| 환급 |
|
교환 및 반품 접수
| 교환 및 반품 접수 기한 |
|
|---|---|
| 교환 및 반품 접수가 가능한 경우 |
|
| 교환 및 반품 접수가 불가능한 경우 |
|
교환 및 반품 신청
| 교환 절차 |
|
|---|---|
| 반품 절차 |
|