
Thermo Fisher Scientific Goat anti-Human IgG, IgM, IgA (H+L) Secondary Antibody, HRP
Thermo Fisher Scientific의 염소 유래 HRP 결합 항-인간 IgG/IgM/IgA (H+L) 2차 항체로, Western blot, IHC, ELISA 등 다양한 면역 분석에 사용 가능합니다. 친화 크로마토그래피로 정제되었으며 높은 특이성과 감도를 제공합니다. 연구용으로만 사용됩니다.
✨AI 추천 연관 상품
AI가 분석한 이 상품과 연관된 추천 상품들을 확인해보세요
연관 상품을 찾고 있습니다...
Applications and Tested Dilution
| Application | Tested Dilution |
|---|---|
| Western Blot (WB) | 1:500–1:20,000 |
| Immunohistochemistry (IHC) | 1:500–1:20,000 |
| ELISA | 1:500–1:20,000 |
Product Specifications
| 항목 | 내용 |
|---|---|
| Species Reactivity | Human |
| Host / Isotype | Goat / IgG |
| Class | Polyclonal |
| Type | Secondary Antibody |
| Immunogen | Human IgG/IgA/IgM |
| Conjugate | HRP |
| Form | Lyophilized |
| Concentration | 2.5 mg/mL |
| Purification | Affinity chromatography |
| Storage Buffer | PBS, pH 7.2, with 1% BSA |
| Contains | 0.1% ProClin 150 |
| Storage Conditions | Store at 4°C short term. For long-term storage, store at -20°C, avoiding freeze/thaw cycles. |
| Shipping Conditions | Wet ice |
| RRID | AB_2535624 |
| Target | IgG/IgA/IgM |
| Antibody Form | Whole Antibody |
Available Conjugate Formats
- AP
- Biotin
- FITC
- TRITC
- Custom conjugation available upon request
Product Specific Information
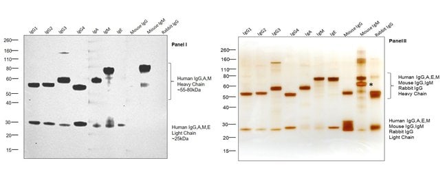
Each lot of antibody is tested for sensitivity using ELISA and for specificity using immunoelectrophoresis (IEP).
Reconstitution Instructions:
- Rehydrate with 1.1 mL of deionized water and let stand for 30 minutes at room temperature to dissolve.
- Centrifuge to remove particulates.
- Prepare fresh working dilutions daily.
- Store lyophilized material at 2–8°C.
- For long-term storage after reconstitution, dilute with 50% glycerol and store at -20°C as a liquid.
Based on immunoelectrophoresis, no reactivity is observed to non-immunoglobulin human serum proteins.
Target Information
Anti-Human secondary antibodies are affinity-purified antibodies with well-characterized specificity for human immunoglobulins. They are useful for detection, sorting, or purification of target molecules. Secondary antibodies enhance versatility and sensitivity through signal amplification, as multiple secondary antibodies can bind to a single primary antibody.
These antibodies are typically produced by immunizing host animals with pooled immunoglobulins from the target species and may be further purified or modified (e.g., immunoaffinity chromatography, antibody fragmentation, label conjugation) to generate highly specific reagents.
For Research Use Only. Not for use in diagnostic procedures. Not for resale without express authorization.
🏷️Thermo Fisher Scientific 상품 둘러보기
동일 브랜드의 다른 상품들을 확인해보세요

Thermo Fisher Scientific
Thermo Fisher Scientific Goat anti-Human IgG, IgM, IgA (H+L) Secondary Antibody
161,300원

Thermo Fisher Scientific
Thermo Fisher Scientific Goat anti-Human IgG, IgM, IgA (H+L) Secondary Antibody, FITC
216,100원

Thermo Fisher Scientific
Thermo Fisher Scientific Goat anti-Human IgG, IgM, IgA (H+L) Secondary Antibody, HRP
169,200원

Thermo Fisher Scientific
Thermo Fisher Scientific Goat anti-Human IgM (Heavy chain) Cross-Adsorbed Secondary Antibody, Biotin
162,300원

Thermo Fisher Scientific
Thermo Fisher Scientific Goat anti-Human IgM (Heavy chain) Cross-Adsorbed Secondary Antibody, AP
308,000원
배송/결제/교환/반품 안내
배송 정보
| 기본 배송비 |
| 교환/반품 배송비 |
|
|---|---|---|---|
| 착불 배송비 |
| ||
| 교환/반품 배송비 |
| ||
결제 및 환불 안내
| 결제수단 |
|
|---|---|
| 취소 |
|
| 반품 |
|
| 환급 |
|
교환 및 반품 접수
| 교환 및 반품 접수 기한 |
|
|---|---|
| 교환 및 반품 접수가 가능한 경우 |
|
| 교환 및 반품 접수가 불가능한 경우 |
|
교환 및 반품 신청
| 교환 절차 |
|
|---|---|
| 반품 절차 |
|