
Thermo Fisher Scientific Mouse anti-Human IgA1 Fc Secondary Antibody, HRP
Human IgA1 Fc를 인식하는 Mouse monoclonal HRP-conjugated secondary antibody. Western blot과 ELISA에 적합. 고순도 정제 및 PBS/50% glycerol 저장. 높은 특이성과 신호 증폭 효과 제공.
✨AI 추천 연관 상품
AI가 분석한 이 상품과 연관된 추천 상품들을 확인해보세요
연관 상품을 찾고 있습니다...
Thermo Fisher Scientific Mouse anti-Human IgA1 Fc Secondary Antibody, HRP
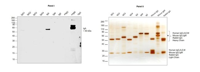
Applications and Tested Dilution
| Application | Tested Dilution |
|---|---|
| Western Blot (WB) | 1:2000 |
| ELISA | 1:500–1:2000 |
Product Specifications
| 항목 | 내용 |
|---|---|
| Species Reactivity | Human |
| Host / Isotype | Mouse / IgG1 |
| Class | Monoclonal |
| Type | Secondary Antibody |
| Clone | B3506B4 |
| Immunogen | Human IgA1 heavy chains |
| Conjugate | HRP |
| Form | Liquid |
| Purification | Purified |
| Storage Buffer | PBS with 50% glycerol |
| Contains | No preservative |
| Storage Conditions | -20°C, Avoid Freeze/Thaw Cycles |
| Shipping Conditions | Wet ice |
| RRID | AB_2538084 |
| Target | IgA1 |
| Antibody Form | Whole Antibody |
Product Specific Information
MA5-16581 recognizes the Fc portion of the heavy chain of human IgA1.
Target Information
Anti-Human secondary antibodies are affinity-purified antibodies with well-characterized specificity for human immunoglobulins and are useful in the detection, sorting, or purification of their specified targets.
Secondary antibodies offer increased versatility, enabling use with various detection systems such as HRP, AP, and fluorescence. They provide greater sensitivity through signal amplification since multiple secondary antibodies can bind to a single primary antibody.
Typically, secondary antibodies are generated by immunizing the host animal with pooled immunoglobulins from the target species and can be further purified or modified (e.g., immunoaffinity chromatography, antibody fragmentation, label conjugation) to yield highly specific reagents.
For Research Use Only. Not for use in diagnostic procedures. Not for resale without express authorization.
🏷️Thermo Fisher Scientific 상품 둘러보기
동일 브랜드의 다른 상품들을 확인해보세요

Thermo Fisher Scientific
Thermo Fisher Scientific CD38 Monoclonal Antibody (AT13/5)
1,587,500원

Thermo Fisher Scientific
Thermo Fisher Scientific CD38 Monoclonal Antibody (AT13/5)
718,500원

Thermo Fisher Scientific
Thermo Fisher Scientific Mouse anti-Human IgA1 Fc Secondary Antibody, HRP
1,040,100원

Thermo Fisher Scientific
Thermo Fisher Scientific CD42b Monoclonal Antibody (AK2)
973,600원

Thermo Fisher Scientific
Thermo Fisher Scientific ITGA2 Monoclonal Antibody (AK7), PE
650,100원
배송/결제/교환/반품 안내
배송 정보
| 기본 배송비 |
| 교환/반품 배송비 |
|
|---|---|---|---|
| 착불 배송비 |
| ||
| 교환/반품 배송비 |
| ||
결제 및 환불 안내
| 결제수단 |
|
|---|---|
| 취소 |
|
| 반품 |
|
| 환급 |
|
교환 및 반품 접수
| 교환 및 반품 접수 기한 |
|
|---|---|
| 교환 및 반품 접수가 가능한 경우 |
|
| 교환 및 반품 접수가 불가능한 경우 |
|
교환 및 반품 신청
| 교환 절차 |
|
|---|---|
| 반품 절차 |
|