
Thermo Fisher Scientific Mouse anti-Human IgG4 Fc Secondary Antibody, HRP
HRP 결합 Mouse anti-Human IgG4 Fc 단일클론 2차 항체로, IgG4 Fc 부분에 특이적 반응. Western blot, IHC, ELISA 등 다양한 응용 가능. Human 및 유인원 종과 반응하며 IgG1~3과 교차반응 없음. 단백질 A 정제, 4°C 또는 -20°C 보관.
✨AI 추천 연관 상품
AI가 분석한 이 상품과 연관된 추천 상품들을 확인해보세요
연관 상품을 찾고 있습니다...
Thermo Fisher Scientific Mouse anti-Human IgG4 Fc Secondary Antibody, HRP
Applications and Tested Dilution
| Application | Tested Dilution |
|---|---|
| Western Blot (WB) | 1:2000 |
| Immunohistochemistry (Paraffin) (IHC (P)) | Assay-dependent |
| Immunohistochemistry (Frozen) (IHC (F)) | 1/40–1/80 |
| ELISA | 1/1000–1/20000 |
Product Specifications
| Specification | Description |
|---|---|
| Species Reactivity | Human |
| Host / Isotype | Mouse / IgG1 |
| Class | Monoclonal |
| Type | Secondary Antibody |
| Clone | HP6025 |
| Immunogen | Purified IgG4 |
| Conjugate | HRP |
| Form | Liquid |
| Concentration | 1 mg/mL |
| Purification | Protein A |
| Storage Buffer | PBS |
| Contains | 0.01% thimerosal |
| Storage Conditions | Store at 4°C short term; for long-term storage, store at -20°C, avoiding freeze/thaw cycles |
| Shipping Conditions | Wet ice |
| RRID | AB_933979 |
| Target | IgG4 |
| Antibody Form | Whole Antibody |
Product Specific Information
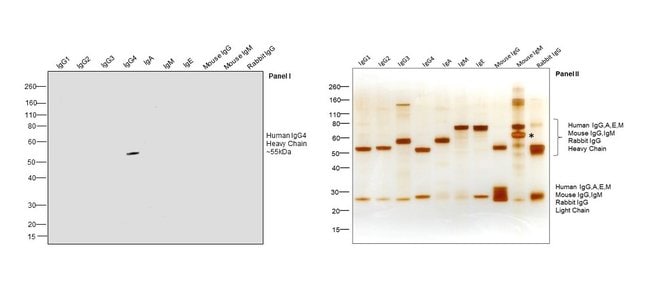
MA1-82201 detects the Fc portion of human IgG4. No cross-reactivity is observed with human IgG1, IgG2, and IgG3 isotypes.
A suggested histology positive control is tonsil tissue.
This antibody reacts with Human, African green monkey, Cynomolgus monkey, Baboon, Chimpanzee, and Rhesus Monkey IgG.
Mouse anti-Human IgG4 antibody, clone HP6025, recognizes the heavy chain of human IgG4 at an epitope in the Fc region. No cross-reactivity is observed with IgG1, IgG2, IgG3, IgM, or IgA (Jefferis et al. 1985).
Target Information
Anti-Human secondary antibodies are affinity-purified antibodies with well-characterized specificity for human immunoglobulins and are useful in detection, sorting, or purification of the specified target.
Secondary antibodies offer increased versatility enabling use with many detection systems (e.g., HRP, AP, fluorescence) and provide greater sensitivity through signal amplification.
Most commonly, secondary antibodies are generated by immunizing the host animal with pooled immunoglobulins from the target species and can be further purified or modified (e.g., immunoaffinity chromatography, antibody fragmentation, label conjugation) to generate highly specific reagents.
Safety Information
⚠ WARNING: This product can expose you to chemicals including mercury, which is known to the State of California to cause birth defects or other reproductive harm.
For more information, visit www.P65Warnings.ca.gov.
For Research Use Only. Not for use in diagnostic procedures. Not for resale without express authorization.
제품 이미지
(이미지 없음)
🏷️Thermo Fisher Scientific 상품 둘러보기
동일 브랜드의 다른 상품들을 확인해보세요

Thermo Fisher Scientific
Thermo Fisher Scientific CD59 Monoclonal Antibody (MEM-43)
1,726,300원

Thermo Fisher Scientific
Thermo Fisher Scientific CD4 Monoclonal Antibody (YTS191.1)
339,200원

Thermo Fisher Scientific
Thermo Fisher Scientific Mouse anti-Human IgG4 Fc Secondary Antibody, HRP
1,712,600원

Thermo Fisher Scientific
Thermo Fisher Scientific HLA-B7 Monoclonal Antibody (BB7.1), FITC
717,500원

Thermo Fisher Scientific
Thermo Fisher Scientific CD11c Monoclonal Antibody (BU15)
808,400원
배송/결제/교환/반품 안내
배송 정보
| 기본 배송비 |
| 교환/반품 배송비 |
|
|---|---|---|---|
| 착불 배송비 |
| ||
| 교환/반품 배송비 |
| ||
결제 및 환불 안내
| 결제수단 |
|
|---|---|
| 취소 |
|
| 반품 |
|
| 환급 |
|
교환 및 반품 접수
| 교환 및 반품 접수 기한 |
|
|---|---|
| 교환 및 반품 접수가 가능한 경우 |
|
| 교환 및 반품 접수가 불가능한 경우 |
|
교환 및 반품 신청
| 교환 절차 |
|
|---|---|
| 반품 절차 |
|