
Thermo Fisher Scientific Donkey anti-Chicken IgY (H+L) Secondary Antibody, Biotin
Thermo Fisher Scientific의 Donkey anti-Chicken IgY (H+L) Biotin 항체는 닭 IgY 검출용 고감도 2차 항체입니다. Western blot, ELISA, IHC 등 다양한 응용에 적합하며, 비오틴 결합으로 신호 증폭이 가능합니다. 친화 크로마토그래피 정제 및 안정적 액상 형태로 제공됩니다.
✨AI 추천 연관 상품
AI가 분석한 이 상품과 연관된 추천 상품들을 확인해보세요
연관 상품을 찾고 있습니다...
Thermo Fisher Scientific Donkey anti-Chicken IgY (H+L) Secondary Antibody, Biotin
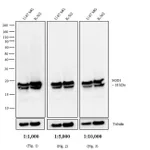
Applications and Tested Dilution
| Application | Tested Dilution |
|---|---|
| Western Blot (WB) | 1:1,000–1:5,000 |
| Immunohistochemistry (IHC) | Assay-dependent |
| ELISA | 1:10,000–1:20,000 |
Product Specifications
| 항목 | 내용 |
|---|---|
| Species Reactivity | Chicken |
| Host / Isotype | Donkey / IgG |
| Class | Polyclonal |
| Type | Secondary Antibody |
| Immunogen | Purified egg-derived IgY |
| Conjugate | Biotin |
| Form | Liquid |
| Concentration | 1.0 mg/mL |
| Purification | Affinity chromatography |
| Storage Buffer | PBS, pH 7.2, with 50% glycerol |
| Contains | 0.1% chloroacetamide |
| Storage Conditions | −20°C, Avoid Freeze/Thaw Cycles |
| Shipping Conditions | Ambient (domestic); Wet ice (international) |
| RRID | AB_923385 |
| Target | IgY |
| Antibody Form | Whole Antibody |
Additional Formats
- FITC
- HRP
- Request custom conjugation
Product Specific Information
SA1-72003 detects Chicken IgY in chicken samples.
It has been successfully used in ELISA and Western blot procedures.
The immunogen is purified egg-derived IgY.
Target Information
Anti-Chicken secondary antibodies are affinity-purified and exhibit well-characterized specificity for chicken immunoglobulins.
They are useful for detection, sorting, or purification of the specified target.
Secondary antibodies provide versatility and increased sensitivity via signal amplification, as multiple secondary antibodies can bind to a single primary antibody.
These antibodies are typically generated by immunizing a host animal with pooled immunoglobulins from the target species and can be further purified or modified (e.g., immunoaffinity chromatography, antibody fragmentation, label conjugation) to produce highly specific reagents.
For Research Use Only. Not for use in diagnostic procedures. Not for resale without express authorization.
🏷️Thermo Fisher Scientific 상품 둘러보기
동일 브랜드의 다른 상품들을 확인해보세요

Thermo Fisher Scientific
Thermo Fisher Scientific Chicken anti-Mouse IgG (H+L) Secondary Antibody, HRP
326,500원

Thermo Fisher Scientific
Thermo Fisher Scientific Chicken anti-Mouse IgG Fab Secondary Antibody
335,300원

Thermo Fisher Scientific
Thermo Fisher Scientific Donkey anti-Chicken IgY (H+L) Secondary Antibody, Biotin
338,300원

Thermo Fisher Scientific
Thermo Fisher Scientific Mouse anti-Rat Kappa Light Chain Secondary Antibody
464,400원

Thermo Fisher Scientific
Thermo Fisher Scientific Chicken anti-Mouse IgG (H+L) Secondary Antibody, Biotin
272,800원
배송/결제/교환/반품 안내
배송 정보
| 기본 배송비 |
| 교환/반품 배송비 |
|
|---|---|---|---|
| 착불 배송비 |
| ||
| 교환/반품 배송비 |
| ||
결제 및 환불 안내
| 결제수단 |
|
|---|---|
| 취소 |
|
| 반품 |
|
| 환급 |
|
교환 및 반품 접수
| 교환 및 반품 접수 기한 |
|
|---|---|
| 교환 및 반품 접수가 가능한 경우 |
|
| 교환 및 반품 접수가 불가능한 경우 |
|
교환 및 반품 신청
| 교환 절차 |
|
|---|---|
| 반품 절차 |
|