
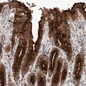
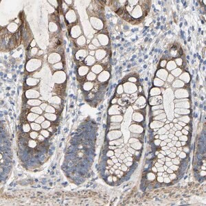
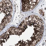
Merck Anti-MLPH antibody produced in rabbit
✨AI 추천 연관 상품
AI가 분석한 이 상품과 연관된 추천 상품들을 확인해보세요
연관 상품을 찾고 있습니다...
Anti-MLPH antibody produced in rabbit
Prestige Antibodies® Powered by Atlas Antibodies, affinity isolated antibody, buffered aqueous glycerol solution
Anti-Slp homolog lacking C2 domains a, Anti-Exophilin-3, Anti-Melanophilin, Anti-Synaptotagmin-like protein 2a, Anti-SlaC2-a
MLPH (melanophilin) belongs to the family of synaptotagmin-like proteins and is a Rab27A effector. It is a component of a tripartite complex, which also includes myosin-Va and Rab27A. Its N-terminal contains an Slp homolody domain (SHD), which interacts with GTP-bound form of Rab27A/B, and a myosin Va-binding region in its C-terminal. Also, amino acids 400-590 in the C-terminal, directly bind to actin. It contains two α-helices (SHD1 and SHD2), which are conserved in nature. These two regions are intervened by two zinc finger motifs. This gene is localized to human chromosome 2q37.3.
🏷️Merck Sigma 상품 둘러보기
동일 브랜드의 다른 상품들을 확인해보세요

Merck Sigma
Merck Anti-TOR1B antibody produced in rabbit
370,530원

Merck Sigma
Merck Anti-TBC1D15 antibody produced in rabbit
370,530원

Merck Sigma
Merck Anti-MLPH antibody produced in rabbit
895,700원

Merck Sigma
Merck Anti-PLPPR1 antibody produced in rabbit
895,600원

Merck Sigma
Merck Anti-CDC14B antibody produced in rabbit
370,530원
배송/결제/교환/반품 안내
배송 정보
| 기본 배송비 |
| 교환/반품 배송비 |
|
|---|---|---|---|
| 착불 배송비 |
| ||
| 교환/반품 배송비 |
| ||
결제 및 환불 안내
| 결제수단 |
|
|---|---|
| 취소 |
|
| 반품 |
|
| 환급 |
|
교환 및 반품 접수
| 교환 및 반품 접수 기한 |
|
|---|---|
| 교환 및 반품 접수가 가능한 경우 |
|
| 교환 및 반품 접수가 불가능한 경우 |
|
교환 및 반품 신청
| 교환 절차 |
|
|---|---|
| 반품 절차 |
|
