
Merck Anti-HECTD2 antibody produced in rabbit
상품 한눈에 보기
HECTD2 단백질을 인식하는 토끼 유래 polyclonal 항체로, Atlas Antibodies의 Prestige Antibodies® 라인 제품입니다. human 시료에 반응하며 Western blot, IF, IHC에 적합합니다. −20°C에서 보관하며, buffered glycerol 용액 형태로 제공됩니다.
브랜드: Merck Sigma
✨AI 추천 연관 상품
AI가 분석한 이 상품과 연관된 추천 상품들을 확인해보세요
연관 상품을 찾고 있습니다...
Anti-HECTD2 antibody produced in rabbit
Prestige Antibodies® Powered by Atlas Antibodies
Affinity isolated antibody, buffered aqueous glycerol solution
Aliases: Anti-FLJ37306, Anti-HECT domain containing 2
제품 개요
HECTD2 단백질을 표적으로 하는 토끼 유래 polyclonal 항체로, Atlas Antibodies의 Prestige Antibodies® 시리즈 제품입니다. Western blot, immunofluorescence, immunohistochemistry 등의 다양한 응용에 적합합니다.
제품 사양
| 항목 | 내용 |
|---|---|
| Biological source | Rabbit |
| Quality Level | 100 (M-Clarity Program) |
| Conjugate | Unconjugated |
| Antibody type | Primary antibody |
| Clonality | Polyclonal |
| Product line | Prestige Antibodies® Powered by Atlas Antibodies |
| Form | Buffered aqueous glycerol solution |
| Species reactivity | Human |
| Packaging | 25 μL (small pack) |
| Immunogen sequence | SPAHLVFPNIKNVREPPPICLDVRQKQRTSMDASSSEMKAPVLPEPILPIQPKTVKDFQEDVEKVKSSGDWKA |
| UniProt accession no. | Q5U5R9 |
| Shipping conditions | Wet ice |
| Storage temperature | −20 °C |
| Gene information | Human HECTD2 (143279) |
| Epitope information | HECT domain containing 2 recombinant protein epitope signature tag (PrEST) |
적용 기술 및 권장 사용 농도
| 기술 | 권장 농도 |
|---|---|
| Immunoblotting (WB) | 0.04–0.4 μg/mL |
| Immunofluorescence (IF) | 0.25–2 μg/mL |
| Immunohistochemistry (IHC) | 1:50–1:200 |
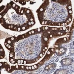
제품 이미지
(이미지 제공 시 여기에 배치)
🏷️Merck Sigma 상품 둘러보기
동일 브랜드의 다른 상품들을 확인해보세요

Merck Sigma
Merck Anti-FAM53B antibody produced in rabbit
370,530원

Merck Sigma
Merck Anti-IGSF9 antibody produced in rabbit
895,700원

Merck Sigma
Merck Anti-HECTD2 antibody produced in rabbit
895,700원

Merck Sigma
Merck Anti-GBF1 antibody produced in rabbit
895,700원

Merck Sigma
Merck Anti-ZNF527 antibody produced in rabbit
895,600원
배송/결제/교환/반품 안내
배송 정보
| 기본 배송비 |
| 교환/반품 배송비 |
|
|---|---|---|---|
| 착불 배송비 |
| ||
| 교환/반품 배송비 |
| ||
결제 및 환불 안내
| 결제수단 |
|
|---|---|
| 취소 |
|
| 반품 |
|
| 환급 |
|
교환 및 반품 접수
| 교환 및 반품 접수 기한 |
|
|---|---|
| 교환 및 반품 접수가 가능한 경우 |
|
| 교환 및 반품 접수가 불가능한 경우 |
|
교환 및 반품 신청
| 교환 절차 |
|
|---|---|
| 반품 절차 |
|
문의 0
로그인 후 문의를 할 수 있습니다.