
Merck Anti-MVD antibody produced in rabbit
Rabbit에서 생산된 Anti-MVD 다클론 항체로, 인간 Mevalonate diphosphate decarboxylase(MVD)를 특이적으로 인식합니다. Prestige Antibodies® Powered by Atlas Antibodies 제품군에 속하며, 면역블롯팅·면역형광·면역조직화학에 적합합니다. −20°C에서 보관하며, 25 μL 포장으로 제공됩니다.
✨AI 추천 연관 상품
AI가 분석한 이 상품과 연관된 추천 상품들을 확인해보세요
연관 상품을 찾고 있습니다...
Anti-MVD antibody produced in rabbit
Prestige Antibodies® Powered by Atlas Antibodies
Affinity isolated antibody, buffered aqueous glycerol solution
Anti-mevalonate (diphospho) decarboxylase, Anti-MPD
제품 정보
| 항목 | 내용 |
|---|---|
| 생물학적 소스 | Rabbit |
| 품질 등급 | 100 |
| 결합 형태 | Unconjugated |
| 항체 형태 | Affinity isolated antibody |
| 항체 유형 | Primary antibodies |
| 클론 | Polyclonal |
| 제품 라인 | Prestige Antibodies® Powered by Atlas Antibodies |
| 제형 | Buffered aqueous glycerol solution |
| 반응 종 | Human |
| 포장 단위 | Antibody small pack of 25 μL |
| 배송 상태 | Wet ice |
| 저장 온도 | −20°C |
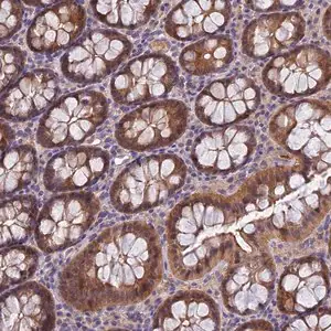
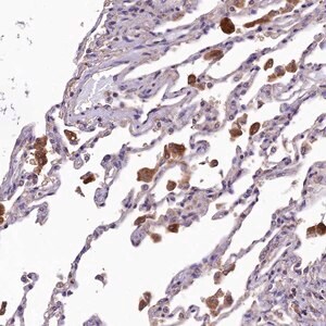
실험 적용
| 실험 기술 | 사용 농도 |
|---|---|
| Immunoblotting | 0.04–0.4 μg/mL |
| Immunofluorescence | 0.25–2 μg/mL |
| Immunohistochemistry | 1:200–1:500 |
면역원 서열
ASVETSPLLRFRAESVVPARMAEMARCIRERDFPSFAQLTMKDSNQFHATCLDTFPPISYLNAISWRIIHLVHRFN
UniProt 수납 번호
유전자 정보
Human ... MVD(4597)
Mevalonate diphosphate decarboxylase (MVD)는 인간 염색체 16q23–qter에 위치한 유전자에 의해 암호화됩니다. 이 단백질은 galactokinase, homoserine kinase, mevalonate kinase, phosphomevalonate kinase (GHMP kinase) 단백질 계열에 속합니다.
🏷️Merck Sigma 상품 둘러보기
동일 브랜드의 다른 상품들을 확인해보세요

Merck Sigma
Merck Anti-SBNO2 antibody produced in rabbit
370,530원

Merck Sigma
Merck Anti-P2RX7 antibody produced in rabbit
370,530원

Merck Sigma
Merck Anti-MVD antibody produced in rabbit
370,530원

Merck Sigma
Merck Anti-CFC1 antibody produced in rabbit
895,700원

Merck Sigma
Merck Anti-RRAD antibody produced in rabbit
370,530원
배송/결제/교환/반품 안내
배송 정보
| 기본 배송비 |
| 교환/반품 배송비 |
|
|---|---|---|---|
| 착불 배송비 |
| ||
| 교환/반품 배송비 |
| ||
결제 및 환불 안내
| 결제수단 |
|
|---|---|
| 취소 |
|
| 반품 |
|
| 환급 |
|
교환 및 반품 접수
| 교환 및 반품 접수 기한 |
|
|---|---|
| 교환 및 반품 접수가 가능한 경우 |
|
| 교환 및 반품 접수가 불가능한 경우 |
|
교환 및 반품 신청
| 교환 절차 |
|
|---|---|
| 반품 절차 |
|