
Merck Anti-SETX antibody produced in rabbit
Merck의 Anti-SETX rabbit 항체는 human senataxin(SETX)을 인식하는 polyclonal primary antibody입니다. Prestige Antibodies® 라인으로 immunofluorescence와 immunohistochemistry에 적합하며, −20°C에서 보관합니다.
✨AI 추천 연관 상품
AI가 분석한 이 상품과 연관된 추천 상품들을 확인해보세요
연관 상품을 찾고 있습니다...
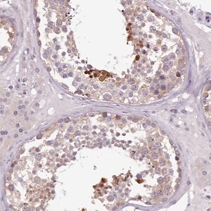
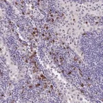
Anti-SETX antibody produced in rabbit
제품 개요
Prestige Antibodies® Powered by Atlas Antibodies
Affinity isolated antibody, buffered aqueous glycerol solution
Anti-SCAR1, Anti-senataxin, Anti-AOA2, Anti-KIAA0625, Anti-ALS4
생물학적 소스
rabbit
품질 등급
100 (M-Clarity Program)
결합 형태
Unconjugated
항체 형태
Affinity isolated antibody
항체 종류
Primary antibodies
클론
Polyclonal
제품 라인
Prestige Antibodies® Powered by Atlas Antibodies
제형
Buffered aqueous glycerol solution
반응 종
Human
포장
Small pack of 25 μL
적용 기술
- Immunofluorescence: 0.25–2 μg/mL
- Immunohistochemistry: 1:500–1:1000
면역원 서열
CCWCTPGGASTIDFLKRYASNTPSGEFQTADEDLCYCLECVAEYHKARDELPFLHEVLWELETLRLINHFEKSMKAEIGDDDELYIVDNNGEMPLFDITGQDFEN
UniProt 수납 번호
배송 상태
Wet ice
저장 온도
−20°C
유전자 정보
Human SETX (23064)
Senataxin recombinant protein epitope signature tag (PrEST)
🏷️Merck Sigma 상품 둘러보기
동일 브랜드의 다른 상품들을 확인해보세요

Merck Sigma
Merck Anti-CCDC166 antibody produced in rabbit
895,700원

Merck Sigma
Merck Anti-TMEM70 antibody produced in rabbit
895,700원

Merck Sigma
Merck Anti-SETX antibody produced in rabbit
895,700원

Merck Sigma
Merck Anti-GLI4 antibody produced in rabbit
895,700원

Merck Sigma
Merck Anti-TNRC6C antibody produced in rabbit
895,700원
배송/결제/교환/반품 안내
배송 정보
| 기본 배송비 |
| 교환/반품 배송비 |
|
|---|---|---|---|
| 착불 배송비 |
| ||
| 교환/반품 배송비 |
| ||
결제 및 환불 안내
| 결제수단 |
|
|---|---|
| 취소 |
|
| 반품 |
|
| 환급 |
|
교환 및 반품 접수
| 교환 및 반품 접수 기한 |
|
|---|---|
| 교환 및 반품 접수가 가능한 경우 |
|
| 교환 및 반품 접수가 불가능한 경우 |
|
교환 및 반품 신청
| 교환 절차 |
|
|---|---|
| 반품 절차 |
|