
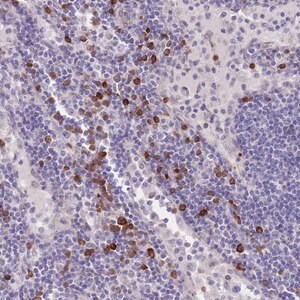
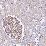
Merck Anti-TNRC6C antibody produced in rabbit
토끼에서 생산된 Anti-TNRC6C 폴리클로날 항체로, 인간 TNRC6C 단백질을 인식합니다. Prestige Antibodies® 라인 제품으로 면역조직화학에 적합하며, 비결합 상태의 친화 분리 항체입니다. −20°C에서 보관하며, 버퍼 글리세롤 용액 형태로 제공됩니다.
✨AI 추천 연관 상품
AI가 분석한 이 상품과 연관된 추천 상품들을 확인해보세요
연관 상품을 찾고 있습니다...
Anti-TNRC6C antibody produced in rabbit
제품 개요
Prestige Antibodies® Powered by Atlas Antibodies 시리즈의 친화 분리 항체로, buffered aqueous glycerol solution 형태로 제공됩니다.
이 항체는 TNRC6C (Trinucleotide repeat containing 6C), KIAA1582, FLJ20015 단백질을 인식합니다.
생물학적 정보
| 항목 | 내용 |
|---|---|
| 생물학적 소스 | Rabbit |
| 품질 등급 | 100 |
| 결합 상태 | Unconjugated |
| 항체 형태 | Affinity isolated antibody |
| 항체 유형 | Primary antibody |
| 클론 | Polyclonal |
| 제품 라인 | Prestige Antibodies® Powered by Atlas Antibodies |
| 제형 | Buffered aqueous glycerol solution |
| 반응 종 | Human |
| 포장 단위 | 25 μL (small pack) |
| 적용 기술 | Immunohistochemistry (1:200–1:500) |
| 면역원 서열 | ATQASNSGGKNDGSIMNSTNTSSVSGWVNAPPAAVPANTGWGDSNNKAPSGPGVWGDSISSTAVSTAAAAKSGHAWSGAANQEDKSPTWGEPPKPKSQHWGDGQRSNPAWSAGGGDWADSSS |
| UniProt 번호 | Q9HCJ0 |
| 배송 상태 | Wet ice |
| 저장 온도 | −20°C |
유전자 정보
Human TNRC6C (Gene ID: 57690)
TNRC6C (Trinucleotide repeat containing 6C)는 GW182 (Gly-Trp) 패밀리의 구성원으로, Drosophila GW182(Gawky)와 유사한 도메인을 포함합니다.
이 단백질은 GW 또는 WG 반복 서열이 풍부한 영역, 글루타민(Q)-풍부 영역, 중앙의 UBA(ubiquitin-associated) 도메인, 그리고 RRM(RNA-binding domain)을 포함하고 있습니다.
🏷️Merck Sigma 상품 둘러보기
동일 브랜드의 다른 상품들을 확인해보세요

Merck Sigma
Merck Anti-SETX antibody produced in rabbit
895,700원

Merck Sigma
Merck Anti-GLI4 antibody produced in rabbit
895,700원

Merck Sigma
Merck Anti-TNRC6C antibody produced in rabbit
895,700원

Merck Sigma
Merck Anti-PCTP antibody produced in rabbit
895,700원

Merck Sigma
Merck Anti-TSGA13 antibody produced in rabbit
895,700원
배송/결제/교환/반품 안내
배송 정보
| 기본 배송비 |
| 교환/반품 배송비 |
|
|---|---|---|---|
| 착불 배송비 |
| ||
| 교환/반품 배송비 |
| ||
결제 및 환불 안내
| 결제수단 |
|
|---|---|
| 취소 |
|
| 반품 |
|
| 환급 |
|
교환 및 반품 접수
| 교환 및 반품 접수 기한 |
|
|---|---|
| 교환 및 반품 접수가 가능한 경우 |
|
| 교환 및 반품 접수가 불가능한 경우 |
|
교환 및 반품 신청
| 교환 절차 |
|
|---|---|
| 반품 절차 |
|