
Merck Anti-HSD3B1 antibody produced in rabbit
상품 한눈에 보기
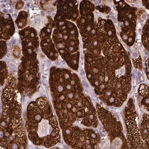
토끼에서 생산된 Anti-HSD3B1 폴리클로날 항체로 인간 시료에 반응. Prestige Antibodies® 라인 제품으로 면역조직화학(IHC)에 적합. 스테로이드 성호르몬 형성 관련 HSD3B1 단백질 검출에 사용. −20°C 보관, 25 μL 소포장 제공.
브랜드: Merck Sigma
✨AI 추천 연관 상품
AI가 분석한 이 상품과 연관된 추천 상품들을 확인해보세요
연관 상품을 찾고 있습니다...
Anti-HSD3B1 antibody produced in rabbit
제품 개요
Prestige Antibodies® Powered by Atlas Antibodies
Affinity isolated antibody, buffered aqueous glycerol solution
Alternative Names: Anti-HSD3B, Anti-HSDB3, Anti-SDR11E1
생물학적 정보
3 β-hydroxysteroid dehydrogenase/delta 5→4-isomerase type 1 (HSD3B1)는 스테로이드 성호르몬 형성에 필수적인 주요 효소로, 유방, 전립선, 태반 및 피부의 피지선에서 주로 발현됩니다.
HSD3B1 유전자는 인간 염색체 1p12에 위치하며, 4개의 엑손을 포함합니다.
제품 사양
| 항목 | 내용 |
|---|---|
| Biological source | Rabbit |
| Quality level | 100 |
| Conjugation | Unconjugated |
| Antibody form | Affinity isolated antibody |
| Product type | Primary antibody |
| Clone | Polyclonal |
| Product line | Prestige Antibodies® Powered by Atlas Antibodies |
| Formulation | Buffered aqueous glycerol solution |
| Species reactivity | Human |
| Packaging | 25 μL small pack |
| Application (technique) | Immunohistochemistry: 1:20–1:50 |
| Immunogen sequence | RHIVTLSNSVFTFSYKKAQRDLAYKPLYSWEEAKQKT |
| UniProt accession no. | P14060 |
| Shipping condition | Wet ice |
| Storage temperature | −20 °C |
| Gene information | Human HSD3B1 (3283) |
제품 이미지
(이미지 없음)
🏷️Merck Sigma 상품 둘러보기
동일 브랜드의 다른 상품들을 확인해보세요

Merck Sigma
Merck Anti-ACBD7 antibody produced in rabbit
895,600원

Merck Sigma
Merck Anti-PDE4A antibody produced in rabbit
895,700원

Merck Sigma
Merck Anti-HSD3B1 antibody produced in rabbit
817,800원

Merck Sigma
Merck Anti-ZNF587 antibody produced in rabbit
895,700원

Merck Sigma
Merck Anti-MROH8 antibody produced in rabbit
370,530원
배송/결제/교환/반품 안내
배송 정보
| 기본 배송비 |
| 교환/반품 배송비 |
|
|---|---|---|---|
| 착불 배송비 |
| ||
| 교환/반품 배송비 |
| ||
결제 및 환불 안내
| 결제수단 |
|
|---|---|
| 취소 |
|
| 반품 |
|
| 환급 |
|
교환 및 반품 접수
| 교환 및 반품 접수 기한 |
|
|---|---|
| 교환 및 반품 접수가 가능한 경우 |
|
| 교환 및 반품 접수가 불가능한 경우 |
|
교환 및 반품 신청
| 교환 절차 |
|
|---|---|
| 반품 절차 |
|
문의 0
로그인 후 문의를 할 수 있습니다.