
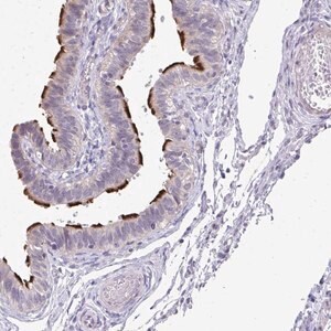
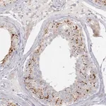
Merck Anti-MROH8 antibody produced in rabbit
Rabbit에서 생산된 Anti-MROH8 폴리클로날 항체로, Human MROH8 단백질을 인식합니다. Prestige Antibodies® Powered by Atlas Antibodies 제품으로 높은 특이성과 재현성을 제공합니다. 면역형광 및 면역조직화학에 적합하며 −20°C에서 보관합니다.
✨AI 추천 연관 상품
AI가 분석한 이 상품과 연관된 추천 상품들을 확인해보세요
연관 상품을 찾고 있습니다...
Anti-MROH8 antibody produced in rabbit
제품 설명
Prestige Antibodies® Powered by Atlas Antibodies 시리즈의 affinity isolated 항체로, buffered aqueous glycerol solution 형태로 제공됩니다.
본 항체는 Anti-C20orf132, Anti-dJ621N11.4, Anti-C20orf131, Anti-dJ621N11.3로도 알려져 있습니다.
생물학적 소스
rabbit
품질 등급
100 (M-Clarity Program)
결합 형태
unconjugated
항체 형태
affinity isolated antibody
항체 유형
primary antibodies
클론
polyclonal
제품 라인
Prestige Antibodies® Powered by Atlas Antibodies
제형
buffered aqueous glycerol solution
반응 종
human
포장
antibody small pack of 25 μL
적용 기술
- Immunofluorescence: 0.25–2 μg/mL
- Immunohistochemistry: 1:500–1:1000
면역원 서열
EPLSHSPRHLTQQDPLSEAIVEKLIQSIQKVFNGELKGELEKLKFLGDLSSLSQALPHDETAKSFIHSHIADIVHTLNVLVQEERPHSLSSSMRQEVFVTIAD
UniProt 수납 번호
배송 상태
wet ice
저장 온도
−20 °C
유전자 정보
Human MROH8 (140699)
Maestro heat-like repeat family member 8
🏷️Merck Sigma 상품 둘러보기
동일 브랜드의 다른 상품들을 확인해보세요

Merck Sigma
Merck Anti-HSD3B1 antibody produced in rabbit
817,800원

Merck Sigma
Merck Anti-ZNF587 antibody produced in rabbit
895,700원

Merck Sigma
Merck Anti-MROH8 antibody produced in rabbit
370,530원

Merck Sigma
Merck Anti-GLYATL2 antibody produced in rabbit
370,530원

Merck Sigma
Merck Anti-SLC2A11 antibody produced in rabbit
895,700원
배송/결제/교환/반품 안내
배송 정보
| 기본 배송비 |
| 교환/반품 배송비 |
|
|---|---|---|---|
| 착불 배송비 |
| ||
| 교환/반품 배송비 |
| ||
결제 및 환불 안내
| 결제수단 |
|
|---|---|
| 취소 |
|
| 반품 |
|
| 환급 |
|
교환 및 반품 접수
| 교환 및 반품 접수 기한 |
|
|---|---|
| 교환 및 반품 접수가 가능한 경우 |
|
| 교환 및 반품 접수가 불가능한 경우 |
|
교환 및 반품 신청
| 교환 절차 |
|
|---|---|
| 반품 절차 |
|