
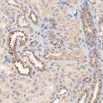
Merck Anti-Nkx2.1 Antibody, clone 8G7-G3-1
✨AI 추천 연관 상품
AI가 분석한 이 상품과 연관된 추천 상품들을 확인해보세요
연관 상품을 찾고 있습니다...
Anti-Nkx2.1 Antibody, clone 8G7-G3-1
ascites fluid, clone 8G7-G3-1, Chemicon®
TTF-1, Thyroid Transcription Factor-1
Nkx2.1 (Thyroid Transcription Factor-1, TTF-1).
🏷️Merck Sigma 상품 둘러보기
동일 브랜드의 다른 상품들을 확인해보세요

Merck Sigma
Merck Anti-NPPC antibody produced in rabbit
370,530원

Merck Sigma
Merck Anti-NECTIN1 antibody produced in rabbit
817,800원

Merck Sigma
Merck Anti-Nkx2.1 Antibody, clone 8G7-G3-1
206,000원

Merck Sigma
Merck Anti-FMNL3 antibody produced in rabbit
370,530원

Merck Sigma
Merck Anti-LIG4 antibody produced in rabbit
370,530원
배송/결제/교환/반품 안내
배송 정보
| 기본 배송비 |
| 교환/반품 배송비 |
|
|---|---|---|---|
| 착불 배송비 |
| ||
| 교환/반품 배송비 |
| ||
결제 및 환불 안내
| 결제수단 |
|
|---|---|
| 취소 |
|
| 반품 |
|
| 환급 |
|
교환 및 반품 접수
| 교환 및 반품 접수 기한 |
|
|---|---|
| 교환 및 반품 접수가 가능한 경우 |
|
| 교환 및 반품 접수가 불가능한 경우 |
|
교환 및 반품 신청
| 교환 절차 |
|
|---|---|
| 반품 절차 |
|
문의 0
로그인 후 문의를 할 수 있습니다.
