
Merck Anti-SLC38A10 antibody produced in rabbit
✨AI 추천 연관 상품
AI가 분석한 이 상품과 연관된 추천 상품들을 확인해보세요
연관 상품을 찾고 있습니다...
Anti-SLC38A10 antibody produced in rabbit
Prestige Antibodies® Powered by Atlas Antibodies, affinity isolated antibody, buffered aqueous glycerol solution, Ab2
생물학적 소스
rabbit
Quality Level
결합
unconjugated
항체 형태
affinity isolated antibody
antibody product type
primary antibodies
클론
polyclonal
제품 라인
Prestige Antibodies® Powered by Atlas Antibodies
form
buffered aqueous glycerol solution
species reactivity
human
포장
antibody small pack of 25 μL
향상된 검증
independent
orthogonal RNAseq
Learn more about Antibody Enhanced Validation
technique(s)
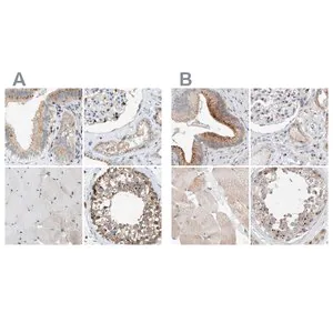
immunohistochemistry: 1:50- 1:200
면역원 서열
MKPKQVSRDLGLAADLPGGAEGAAAQPQAVLRQPELRVISDGEQGGQQGHRLDHGGHLEMRKA
UniProt 수납 번호
배송 상태
wet ice
저장 온도
−20°C
Gene Information
human ... SLC38A10(124565)
The gene SLC38A10 (solute carrier family 38 member 10) encodes two transcripts with the help of exon skipping. The gene is mapped to human chromosome 17q25.
🏷️Merck Sigma 상품 둘러보기
동일 브랜드의 다른 상품들을 확인해보세요

Merck Sigma
Merck Anti-ARSG antibody produced in rabbit
895,700원

Merck Sigma
Merck Anti-VSIG8 antibody produced in rabbit
895,700원

Merck Sigma
Merck Anti-SLC38A10 antibody produced in rabbit
895,700원

Merck Sigma
Merck Anti-PSMD12 antibody produced in rabbit
370,530원

Merck Sigma
Merck Anti-GANAB antibody produced in rabbit
370,530원
배송/결제/교환/반품 안내
배송 정보
| 기본 배송비 |
| 교환/반품 배송비 |
|
|---|---|---|---|
| 착불 배송비 |
| ||
| 교환/반품 배송비 |
| ||
결제 및 환불 안내
| 결제수단 |
|
|---|---|
| 취소 |
|
| 반품 |
|
| 환급 |
|
교환 및 반품 접수
| 교환 및 반품 접수 기한 |
|
|---|---|
| 교환 및 반품 접수가 가능한 경우 |
|
| 교환 및 반품 접수가 불가능한 경우 |
|
교환 및 반품 신청
| 교환 절차 |
|
|---|---|
| 반품 절차 |
|
문의 0
로그인 후 문의를 할 수 있습니다.
