
Merck Anti-MECR antibody produced in rabbit
상품 한눈에 보기
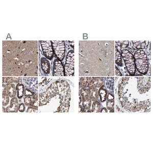
토끼에서 생산된 Anti-MECR 항체로 인간 MECR 단백질을 인식합니다. Prestige Antibodies® 라인 제품이며, affinity isolated 형태입니다. 면역블롯 및 면역조직화학에 사용 가능하며 −20°C에서 보관합니다.
브랜드: Merck Sigma
✨AI 추천 연관 상품
AI가 분석한 이 상품과 연관된 추천 상품들을 확인해보세요
연관 상품을 찾고 있습니다...
Anti-MECR antibody produced in rabbit
Prestige Antibodies® Powered by Atlas Antibodies
Affinity isolated antibody, buffered aqueous glycerol solution, Ab1
제품 정보
| 항목 | 내용 |
|---|---|
| 생물학적 소스 | Rabbit |
| 품질 등급 | 100 |
| 결합 형태 | Unconjugated |
| 항체 형태 | Affinity isolated antibody |
| 항체 유형 | Primary antibodies |
| 클론 | Polyclonal |
| 제품 라인 | Prestige Antibodies® Powered by Atlas Antibodies |
| 제형 | Buffered aqueous glycerol solution |
| 반응 종 | Human |
| 포장 | Antibody small pack of 25 μL |
| 향상된 검증 | Independent (Antibody Enhanced Validation) |
| 기술 | Immunoblotting: 0.04–0.4 μg/mL Immunohistochemistry: 1:50–1:200 |
| 면역원 서열 | SDIPLQSAATLGVNPCTAYRMLMDFEQLQPGDSVIQNASNSGVGQAVIQIAAALGLRTINVVRDRPDIQKLSDRLKSLGAEHVITEEELRRPEMKNFFKDMPQPRLALNCV |
| UniProt 번호 | Q9BV79 |
| 배송 상태 | Wet ice |
| 저장 온도 | −20°C |
| 유전자 정보 | Human MECR(51102) |
제품 설명
MECR (Mitochondrial trans-2-enoyl-CoA reductase)는 미토콘드리아에 위치한 단백질로, nuclear receptor binding factor-1 (NRBF-1)로도 알려져 있습니다. N-말단의 미토콘드리아 타겟 서열을 포함하며, 이는 미토콘드리아 내 위치 결정에 필수적인 역할을 합니다. MECR은 핵 호르몬 수용체인 peroxisome proliferator-activated receptor α (PPARα)의 결합 단백질로 처음 확인되었습니다.
🏷️Merck Sigma 상품 둘러보기
동일 브랜드의 다른 상품들을 확인해보세요

Merck Sigma
Merck Anti-KIF9 antibody produced in rabbit
895,700원

Merck Sigma
Merck Anti-TP53I3 antibody produced in rabbit
895,700원

Merck Sigma
Merck Anti-MECR antibody produced in rabbit
895,700원

Merck Sigma
Merck Anti-PRKCZ antibody produced in rabbit
370,530원

Merck Sigma
Merck Anti-DYSF antibody produced in rabbit
817,800원
배송/결제/교환/반품 안내
배송 정보
| 기본 배송비 |
| 교환/반품 배송비 |
|
|---|---|---|---|
| 착불 배송비 |
| ||
| 교환/반품 배송비 |
| ||
결제 및 환불 안내
| 결제수단 |
|
|---|---|
| 취소 |
|
| 반품 |
|
| 환급 |
|
교환 및 반품 접수
| 교환 및 반품 접수 기한 |
|
|---|---|
| 교환 및 반품 접수가 가능한 경우 |
|
| 교환 및 반품 접수가 불가능한 경우 |
|
교환 및 반품 신청
| 교환 절차 |
|
|---|---|
| 반품 절차 |
|
문의 0
로그인 후 문의를 할 수 있습니다.