
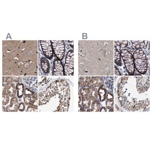
Merck Anti-PRKCZ antibody produced in rabbit
상품 한눈에 보기
토끼에서 생산된 Anti-PRKCZ 항체로, Prestige Antibodies® Powered by Atlas Antibodies 제품입니다. 인간 및 마우스 단백질에 반응하며, 면역형광, 면역블롯, 면역조직화학에 적합합니다. 정제된 affinity isolated 항체로 −20°C에서 보관합니다.
브랜드: Merck Sigma
✨AI 추천 연관 상품
AI가 분석한 이 상품과 연관된 추천 상품들을 확인해보세요
연관 상품을 찾고 있습니다...
Anti-PRKCZ antibody produced in rabbit
Prestige Antibodies® Powered by Atlas Antibodies
Affinity isolated antibody, buffered aqueous glycerol solution
제품 개요
PRKCZ (Protein kinase C ζ)는 PKC 패밀리의 serine/threonine kinase로, aPKC 서브패밀리에 속하며 인간 염색체 1p36.33-p36에 위치합니다.
제품 사양
| 항목 | 내용 |
|---|---|
| 생물학적 소스 | Rabbit |
| 품질 등급 | 100 (M-Clarity Program) |
| 결합 | Unconjugated |
| 항체 형태 | Affinity isolated antibody |
| 항체 종류 | Primary antibody |
| 클론 | Polyclonal |
| 제품 라인 | Prestige Antibodies® Powered by Atlas Antibodies |
| 제형 | Buffered aqueous glycerol solution |
| 반응 종 | Human, Mouse |
| 포장 | 25 μL (small pack) |
| 향상된 검증 | Orthogonal RNAseq (Antibody Enhanced Validation) |
| 적용 기술 | Immunoblotting (0.04–0.4 μg/mL), Immunofluorescence (0.25–2 μg/mL), Immunohistochemistry (1:1000–1:2500) |
| 면역원 서열 | FNRRAYCGQCSERIWGLARQGYRCINCKLLVHKRCHGLVPLTCRKHMDSVMPSQEPPVDDKNEDADLPSEETDGIAYISSSRKHDSIKDDSEDLKPVIDGMDGIKISQGLGLQDFDLIRVIGRGSYAKVLLVRLKKNDQI |
| UniProt 번호 | Q05513 |
| 배송 상태 | Wet ice |
| 저장 온도 | −20°C |
| 유전자 정보 | Human PRKCZ (5590) |
추가 정보
PRKCZ는 세린/트레오닌 키나아제 계열에 속하며, 세포 신호 전달 및 극성 형성에 중요한 역할을 합니다.
🏷️Merck Sigma 상품 둘러보기
동일 브랜드의 다른 상품들을 확인해보세요

Merck Sigma
Merck Anti-TP53I3 antibody produced in rabbit
895,700원

Merck Sigma
Merck Anti-MECR antibody produced in rabbit
895,700원

Merck Sigma
Merck Anti-PRKCZ antibody produced in rabbit
370,530원

Merck Sigma
Merck Anti-DYSF antibody produced in rabbit
817,800원

Merck Sigma
Merck Anti-AKAP9 antibody produced in rabbit
370,530원
배송/결제/교환/반품 안내
배송 정보
| 기본 배송비 |
| 교환/반품 배송비 |
|
|---|---|---|---|
| 착불 배송비 |
| ||
| 교환/반품 배송비 |
| ||
결제 및 환불 안내
| 결제수단 |
|
|---|---|
| 취소 |
|
| 반품 |
|
| 환급 |
|
교환 및 반품 접수
| 교환 및 반품 접수 기한 |
|
|---|---|
| 교환 및 반품 접수가 가능한 경우 |
|
| 교환 및 반품 접수가 불가능한 경우 |
|
교환 및 반품 신청
| 교환 절차 |
|
|---|---|
| 반품 절차 |
|
문의 0
로그인 후 문의를 할 수 있습니다.