
Merck Anti-EPHX1 antibody produced in rabbit
Merck의 Anti-EPHX1 항체는 rabbit에서 생산된 polyclonal primary antibody로, 인간 EPHX1 단백질에 반응합니다. Prestige Antibodies® 라인 제품으로, orthogonal RNAseq 검증을 거쳤으며 immunoblotting 및 immunohistochemistry에 적합합니다. −20°C에서 보관합니다.
✨AI 추천 연관 상품
AI가 분석한 이 상품과 연관된 추천 상품들을 확인해보세요
연관 상품을 찾고 있습니다...
Anti-EPHX1 antibody produced in rabbit
Prestige Antibodies® Powered by Atlas Antibodies
Affinity isolated antibody, buffered aqueous glycerol solution
생물학적 소스
rabbit
품질 등급
100 (M-Clarity Program)
결합
unconjugated
항체 형태
affinity isolated antibody
항체 유형
primary antibodies
클론
polyclonal
제품 라인
Prestige Antibodies® Powered by Atlas Antibodies
형태
buffered aqueous glycerol solution
반응 종
human
향상된 검증
- orthogonal RNAseq
- independent
자세한 내용은 Antibody Enhanced Validation 참고
적용 기술
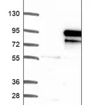
- immunoblotting: 0.04–0.4 μg/mL
- immunohistochemistry: 1:2500–1:5000
면역원 서열
DKEETLPLEDGWWGPGTRSAAREDDSIRPFKVETSDEEIHDLHQRIDKFRFTPPLEDSCFHYGFNSNYLKKVISYWRNEFDWKKQVEILNRHPHFKTKIEGLDIHFI
UniProt 수납 번호
배송 상태
wet ice
저장 온도
−20 °C
유전자 정보
human EPHX1 (2052)
epoxide hydrolase 1, microsomal (xenobiotic) recombinant protein epitope signature tag (PrEST)
제품 스펙 요약
| 항목 | 내용 |
|---|---|
| 생물학적 소스 | Rabbit |
| 항체 유형 | Polyclonal, Primary |
| 결합 | Unconjugated |
| 형태 | Buffered aqueous glycerol solution |
| 반응 종 | Human |
| 제품 라인 | Prestige Antibodies® Powered by Atlas Antibodies |
| 검증 방법 | Orthogonal RNAseq, Independent |
| 적용 기술 | Immunoblotting, Immunohistochemistry |
| 저장 온도 | −20 °C |
| 배송 상태 | Wet ice |
| UniProt 번호 | P07099 |
🏷️Merck Sigma 상품 둘러보기
동일 브랜드의 다른 상품들을 확인해보세요

Merck Sigma
Merck Anti-KIF2B antibody produced in rabbit
895,700원

Merck Sigma
Merck Anti-ZWINT antibody produced in rabbit
895,700원

Merck Sigma
Merck Anti-EPHX1 antibody produced in rabbit
817,800원

Merck Sigma
Merck Anti-ING2 antibody produced in rabbit
895,600원

Merck Sigma
Merck Anti-AQP6 antibody produced in rabbit
895,700원
배송/결제/교환/반품 안내
배송 정보
| 기본 배송비 |
| 교환/반품 배송비 |
|
|---|---|---|---|
| 착불 배송비 |
| ||
| 교환/반품 배송비 |
| ||
결제 및 환불 안내
| 결제수단 |
|
|---|---|
| 취소 |
|
| 반품 |
|
| 환급 |
|
교환 및 반품 접수
| 교환 및 반품 접수 기한 |
|
|---|---|
| 교환 및 반품 접수가 가능한 경우 |
|
| 교환 및 반품 접수가 불가능한 경우 |
|
교환 및 반품 신청
| 교환 절차 |
|
|---|---|
| 반품 절차 |
|