
Merck Anti-GALM antibody produced in rabbit
상품 한눈에 보기
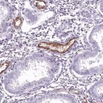
토끼에서 생산된 Anti-GALM 항체로, 인간 GALM 단백질에 특이적입니다. Prestige Antibodies® 시리즈의 친화 정제 항체이며, 면역조직화학(IHC) 실험에 적합합니다. 독립적·직교적 RNAseq 검증을 통해 신뢰성 향상.
브랜드: Merck Sigma
✨AI 추천 연관 상품
AI가 분석한 이 상품과 연관된 추천 상품들을 확인해보세요
연관 상품을 찾고 있습니다...
Anti-GALM antibody produced in rabbit
Prestige Antibodies® Powered by Atlas Antibodies
Affinity isolated antibody, buffered aqueous glycerol solution
제품 개요
이 항체는 토끼에서 생산된 인간 GALM 단백질에 대한 폴리클로날 항체로, 면역조직화학(IHC) 분석에 적합합니다.
Prestige Antibodies® Powered by Atlas Antibodies 시리즈로, 독립적 및 직교적 RNAseq 검증을 거쳐 높은 신뢰성을 제공합니다.
제품 사양
| 항목 | 내용 |
|---|---|
| 생물학적 소스 | Rabbit |
| 품질 등급 | 100 |
| 결합 | Unconjugated |
| 항체 형태 | Affinity isolated antibody |
| 항체 유형 | Primary antibody |
| 클론 | Polyclonal |
| 제품 라인 | Prestige Antibodies® Powered by Atlas Antibodies |
| 제형 | Buffered aqueous glycerol solution |
| 반응 종 | Human |
| 포장 단위 | 25 μL (small pack) |
| 향상된 검증 | Independent, Orthogonal RNAseq |
| 사용 기술 | Immunohistochemistry (1:1000–1:2500) |
| 면역원 서열 | YPGELKVWVTYTLDGGELIVNYRAQASQATPVNLTNHSYFNLAGQASPNINDHEVTIEADTYLPVDETLIPTGEVAPVQGTAFDLRK |
| UniProt 번호 | Q96C23 |
| 배송 상태 | Wet ice |
| 저장 온도 | −20 °C |
| 유전자 정보 | Human GALM (130589) |
| 단백질 설명 | Galactose mutarotase (aldose 1-epimerase) recombinant protein epitope signature tag (PrEST) |
참고 링크
🏷️Merck Sigma 상품 둘러보기
동일 브랜드의 다른 상품들을 확인해보세요

Merck Sigma
Merck Anti-SLC22A13 antibody produced in rabbit
895,700원

Merck Sigma
Merck Anti-SCAF8 antibody produced in rabbit
895,600원

Merck Sigma
Merck Anti-GALM antibody produced in rabbit
895,600원

Merck Sigma
Merck Anti-KIF15 antibody produced in rabbit
895,700원

Merck Sigma
Merck Anti-PROCR antibody produced in rabbit
817,800원
배송/결제/교환/반품 안내
배송 정보
| 기본 배송비 |
| 교환/반품 배송비 |
|
|---|---|---|---|
| 착불 배송비 |
| ||
| 교환/반품 배송비 |
| ||
결제 및 환불 안내
| 결제수단 |
|
|---|---|
| 취소 |
|
| 반품 |
|
| 환급 |
|
교환 및 반품 접수
| 교환 및 반품 접수 기한 |
|
|---|---|
| 교환 및 반품 접수가 가능한 경우 |
|
| 교환 및 반품 접수가 불가능한 경우 |
|
교환 및 반품 신청
| 교환 절차 |
|
|---|---|
| 반품 절차 |
|
문의 0
로그인 후 문의를 할 수 있습니다.