
Merck Anti-PROCR antibody produced in rabbit
토끼에서 생산된 Anti-PROCR 항체로, 인간 단백질 C 수용체(PROCR)를 특이적으로 인식합니다. Prestige Antibodies® 시리즈로 고품질 다클론 항체이며, 면역조직화학(IHC) 분석에 최적화되어 있습니다. −20°C에서 보관하며, orthogonal RNAseq로 검증되었습니다.
✨AI 추천 연관 상품
AI가 분석한 이 상품과 연관된 추천 상품들을 확인해보세요
연관 상품을 찾고 있습니다...
Anti-PROCR antibody produced in rabbit
Prestige Antibodies® Powered by Atlas Antibodies
Affinity isolated antibody, buffered aqueous glycerol solution
제품 개요
Anti-PROCR 항체는 인간 단백질 C 수용체(PROCR, EPCR)를 인식하는 토끼 유래 다클론 항체입니다.
Prestige Antibodies® 시리즈로, orthogonal RNAseq를 통해 향상된 검증(Enhanced Validation)을 거쳤습니다.
제품 사양
| 항목 | 내용 |
|---|---|
| 생물학적 소스 | Rabbit |
| Quality Level | 100 |
| 결합 | Unconjugated |
| 항체 형태 | Affinity isolated antibody |
| 항체 유형 | Primary antibody |
| 클론 | Polyclonal |
| 제품 라인 | Prestige Antibodies® Powered by Atlas Antibodies |
| 형태(Form) | Buffered aqueous glycerol solution |
| Species Reactivity | Human |
| 포장 단위 | 25 μL (small pack) |
| 향상된 검증 | Orthogonal RNAseq |
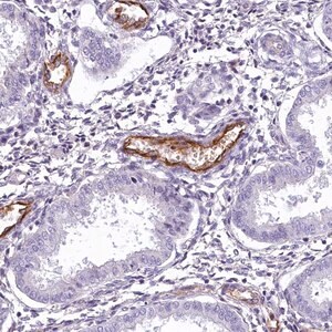
| 적용 기술(technique) | Immunohistochemistry (IHC): 1:200–1:500 |
| 면역원 서열 | LQRLHMLQISYFRDPYHVWYQGNASLGGHLTHVLEGPDTNTTIIQLQPLQEPESWARTQSGLQSYLLQFHGLVRLVHQERTLAFPLTIR |
| UniProt 번호 | Q9UNN8 |
| 배송 상태 | Wet ice |
| 저장 온도 | −20°C |
| 유전자 정보 | Human PROCR (10544) |
유전자 및 단백질 정보
The protein C receptor (PROCR) gene, spanning 6 kb with 4 exons, is mapped to human chromosome 20q11.22.
The gene encodes a receptor for activated protein C (endothelial protein C receptor, EPCR).
PROCR is a 46 kDa, N-glycosylated type I membrane protein expressed on endothelial cells.
It contains 221 amino acids with an extracellular domain, a transmembrane domain, and a short 3 amino acid cytoplasmic tail.
🏷️Merck Sigma 상품 둘러보기
동일 브랜드의 다른 상품들을 확인해보세요

Merck Sigma
Merck Anti-GALM antibody produced in rabbit
895,600원

Merck Sigma
Merck Anti-KIF15 antibody produced in rabbit
895,700원

Merck Sigma
Merck Anti-PROCR antibody produced in rabbit
817,800원

Merck Sigma
Merck Anti-EHBP1 antibody produced in rabbit
895,700원

Merck Sigma
Merck Anti-ANKRD35 antibody produced in rabbit
895,700원
배송/결제/교환/반품 안내
배송 정보
| 기본 배송비 |
| 교환/반품 배송비 |
|
|---|---|---|---|
| 착불 배송비 |
| ||
| 교환/반품 배송비 |
| ||
결제 및 환불 안내
| 결제수단 |
|
|---|---|
| 취소 |
|
| 반품 |
|
| 환급 |
|
교환 및 반품 접수
| 교환 및 반품 접수 기한 |
|
|---|---|
| 교환 및 반품 접수가 가능한 경우 |
|
| 교환 및 반품 접수가 불가능한 경우 |
|
교환 및 반품 신청
| 교환 절차 |
|
|---|---|
| 반품 절차 |
|