
Merck Anti-FAM103A1 antibody produced in rabbit
Merck의 Anti-FAM103A1 rabbit polyclonal antibody는 인간 시료에 반응하며, Prestige Antibodies® 라인으로 높은 품질을 보장합니다. 면역형광 및 면역조직화학 분석에 적합하며, −20°C에서 보관합니다. 버퍼 글리세롤 용액 형태로 제공됩니다.
✨AI 추천 연관 상품
AI가 분석한 이 상품과 연관된 추천 상품들을 확인해보세요
연관 상품을 찾고 있습니다...
Anti-FAM103A1 antibody produced in rabbit
제품 개요
Prestige Antibodies® Powered by Atlas Antibodies, affinity isolated antibody, buffered aqueous glycerol solution.
생물학적 소스
rabbit
품질 등급
100 (M-Clarity Program)
결합 형태
unconjugated
항체 형태
affinity isolated antibody
항체 종류
primary antibody (polyclonal)
제품 라인
Prestige Antibodies® Powered by Atlas Antibodies
제형
buffered aqueous glycerol solution
반응 종
human
포장
antibody small pack of 25 μL
향상된 검증
independent
Learn more about Antibody Enhanced Validation
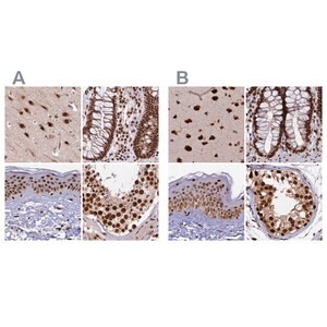
적용 기술
- Immunofluorescence: 0.25–2 μg/mL
- Immunohistochemistry: 1:200–1:500
면역원 서열
QDNRQFRGRDNRWGWPSDNRSNQWHGRSWGNNYPQHRQEPYYPQQYGHYGYNQRPPYGYY
배송 상태
wet ice
저장 온도
−20°C
유전자 정보
human [FAM103A1 (83640)]
family with sequence similarity 103, member A1 recombinant protein epitope signature tag (PrEST)
제품 사양 요약
| 항목 | 내용 |
|---|---|
| Biological Source | Rabbit |
| Quality Level | 100 |
| Conjugation | Unconjugated |
| Antibody Form | Affinity isolated |
| Antibody Type | Primary, Polyclonal |
| Product Line | Prestige Antibodies® Powered by Atlas Antibodies |
| Formulation | Buffered aqueous glycerol solution |
| Species Reactivity | Human |
| Package Size | 25 μL |
| Enhanced Validation | Independent |
| Techniques | IF, IHC |
| Immunogen Sequence | QDNRQFRGRDNRWGWPSDNRSNQWHGRSWGNNYPQHRQEPYYPQQYGHYGYNQRPPYGYY |
| Shipping Condition | Wet ice |
| Storage Temperature | −20°C |
| Gene Information | FAM103A1 (83640) |
🏷️Merck Sigma 상품 둘러보기
동일 브랜드의 다른 상품들을 확인해보세요

Merck Sigma
Merck Anti-BLVRB antibody produced in rabbit
895,700원

Merck Sigma
Merck Anti-FAM103A1 antibody produced in rabbit
817,800원

Merck Sigma
Merck Anti-FAM103A1 antibody produced in rabbit
817,800원

Merck Sigma
Merck Anti-RSRC1 antibody produced in rabbit
370,530원

Merck Sigma
Merck Anti-C6orf132 antibody produced in rabbit
370,530원
배송/결제/교환/반품 안내
배송 정보
| 기본 배송비 |
| 교환/반품 배송비 |
|
|---|---|---|---|
| 착불 배송비 |
| ||
| 교환/반품 배송비 |
| ||
결제 및 환불 안내
| 결제수단 |
|
|---|---|
| 취소 |
|
| 반품 |
|
| 환급 |
|
교환 및 반품 접수
| 교환 및 반품 접수 기한 |
|
|---|---|
| 교환 및 반품 접수가 가능한 경우 |
|
| 교환 및 반품 접수가 불가능한 경우 |
|
교환 및 반품 신청
| 교환 절차 |
|
|---|---|
| 반품 절차 |
|