
Merck Anti-RSRC1 antibody produced in rabbit
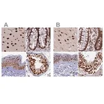
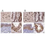
Merck의 Anti-RSRC1 rabbit antibody는 인간 RSRC1 단백질을 표적으로 하는 polyclonal primary antibody입니다. Prestige Antibodies® 라인 제품으로, immunofluorescence 및 immunohistochemistry에 적합하며 orthogonal RNAseq로 검증되었습니다. −20°C에서 보관합니다.
✨AI 추천 연관 상품
AI가 분석한 이 상품과 연관된 추천 상품들을 확인해보세요
연관 상품을 찾고 있습니다...
Anti-RSRC1 antibody produced in rabbit
제품 개요
Prestige Antibodies® Powered by Atlas Antibodies
Affinity isolated antibody, buffered aqueous glycerol solution
생물학적 소스
rabbit
품질 등급
100 (M-Clarity Program)
결합 형태
unconjugated
항체 형태
affinity isolated antibody
항체 유형
primary antibodies
클론
polyclonal
제품 라인
Prestige Antibodies® Powered by Atlas Antibodies
제형
buffered aqueous glycerol solution
반응 종
human
포장
25 μL (antibody small pack)
향상된 검증
orthogonal RNAseq
Antibody Enhanced Validation 참고
적용 기술
- Immunofluorescence: 0.25–2 μg/mL
- Immunohistochemistry: 1:500–1:1000
면역원 서열
KGKDKELHNIKRGESGNIKAGLEHLPPAEQAKARLQLVLEAAAKADEALKAKERNEEEAKRRKEEDQATLVEQVKRVKEIEAIESD
UniProt 수납 번호
배송 상태
wet ice
저장 온도
−20°C
유전자 정보
human RSRC1 (51319)
Arginine/serine-rich coiled-coil 1 recombinant protein epitope signature tag (PrEST)
제품 스펙 요약
| 항목 | 내용 |
|---|---|
| Biological Source | Rabbit |
| Quality Level | 100 |
| Conjugation | Unconjugated |
| Clone | Polyclonal |
| Form | Buffered aqueous glycerol solution |
| Species Reactivity | Human |
| Packaging | 25 μL |
| Validation | Orthogonal RNAseq |
| Applications | Immunofluorescence, Immunohistochemistry |
| Storage Temperature | −20°C |
| Shipping Condition | Wet ice |
🏷️Merck Sigma 상품 둘러보기
동일 브랜드의 다른 상품들을 확인해보세요

Merck Sigma
Merck Anti-FAM103A1 antibody produced in rabbit
817,800원

Merck Sigma
Merck Anti-FAM103A1 antibody produced in rabbit
817,800원

Merck Sigma
Merck Anti-RSRC1 antibody produced in rabbit
370,530원

Merck Sigma
Merck Anti-C6orf132 antibody produced in rabbit
370,530원

Merck Sigma
Merck Anti-FAM76A antibody produced in rabbit
887,370원
배송/결제/교환/반품 안내
배송 정보
| 기본 배송비 |
| 교환/반품 배송비 |
|
|---|---|---|---|
| 착불 배송비 |
| ||
| 교환/반품 배송비 |
| ||
결제 및 환불 안내
| 결제수단 |
|
|---|---|
| 취소 |
|
| 반품 |
|
| 환급 |
|
교환 및 반품 접수
| 교환 및 반품 접수 기한 |
|
|---|---|
| 교환 및 반품 접수가 가능한 경우 |
|
| 교환 및 반품 접수가 불가능한 경우 |
|
교환 및 반품 신청
| 교환 절차 |
|
|---|---|
| 반품 절차 |
|