
Merck Anti-WDR61 antibody produced in rabbit
상품 한눈에 보기
토끼에서 생산된 Anti-WDR61 다클론 항체로, Atlas Antibodies의 Prestige Antibodies® 라인 제품입니다. 인간, 생쥐, 랫트에 반응하며 Western blot, IF, IHC에 적합합니다. 친화정제 항체로 −20°C에서 보관하며, 향상된 검증을 거친 고품질 항체입니다.
브랜드: Merck Sigma
✨AI 추천 연관 상품
AI가 분석한 이 상품과 연관된 추천 상품들을 확인해보세요
연관 상품을 찾고 있습니다...
Anti-WDR61 antibody produced in rabbit
Prestige Antibodies® Powered by Atlas Antibodies
Affinity isolated antibody, buffered aqueous glycerol solution
제품 개요
- 생물학적 소스: Rabbit
- 항체 형태: Affinity isolated antibody
- 항체 유형: Primary antibody (Polyclonal)
- 결합 상태: Unconjugated
- 제품 라인: Prestige Antibodies® Powered by Atlas Antibodies
- 형태: Buffered aqueous glycerol solution
- 포장: 25 μL (small pack)
- 종 반응성: Rat, Mouse, Human
- 향상된 검증: Independent (Antibody Enhanced Validation 적용)
- 배송 상태: Wet ice
- 저장 온도: −20°C
기술 정보
| 항목 | 내용 |
|---|---|
| Quality Level | 100 |
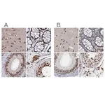
| 기법 (Applications) | Immunoblotting: 0.04–0.4 μg/mL Immunofluorescence: 0.25–2 μg/mL Immunohistochemistry: 1:50–1:200 |
| 면역원 서열 (Immunogen sequence) | DISHTLPIAASSSLDAHIRLWDLENGKQIKSIDAGPVDAWTLAFSPDSQYLATGTHVGKVNIFGVESGKKEYSLDTR |
| UniProt 수납 번호 | Q9GZS3 |
| Gene Information | Human WDR61 (80349) |
| Epitope 정보 | WD repeat domain 61 recombinant protein epitope signature tag (PrEST) |
참고
Learn more about Antibody Enhanced Validation
🏷️Merck Sigma 상품 둘러보기
동일 브랜드의 다른 상품들을 확인해보세요

Merck Sigma
Merck Anti-SORD antibody produced in rabbit
895,700원

Merck Sigma
Merck Anti-AOX1 antibody produced in rabbit
895,600원

Merck Sigma
Merck Anti-WDR61 antibody produced in rabbit
370,530원

Merck Sigma
Merck Anti-SYCE1 antibody produced in rabbit
895,700원

Merck Sigma
Merck Anti-CSTF3 antibody produced in rabbit
895,700원
배송/결제/교환/반품 안내
배송 정보
| 기본 배송비 |
| 교환/반품 배송비 |
|
|---|---|---|---|
| 착불 배송비 |
| ||
| 교환/반품 배송비 |
| ||
결제 및 환불 안내
| 결제수단 |
|
|---|---|
| 취소 |
|
| 반품 |
|
| 환급 |
|
교환 및 반품 접수
| 교환 및 반품 접수 기한 |
|
|---|---|
| 교환 및 반품 접수가 가능한 경우 |
|
| 교환 및 반품 접수가 불가능한 경우 |
|
교환 및 반품 신청
| 교환 절차 |
|
|---|---|
| 반품 절차 |
|
문의 0
로그인 후 문의를 할 수 있습니다.