
Merck Anti-CSTF3 antibody produced in rabbit
상품 한눈에 보기
토끼에서 생산된 Anti-CSTF3 항체로, Prestige Antibodies® 라인 제품입니다. 인간, 마우스, 랫트에 반응하며 Western blot과 IHC에 적합합니다. Affinity isolated, glycerol buffer 형태로 제공되며 −20°C에서 보관합니다.
브랜드: Merck Sigma
✨AI 추천 연관 상품
AI가 분석한 이 상품과 연관된 추천 상품들을 확인해보세요
연관 상품을 찾고 있습니다...
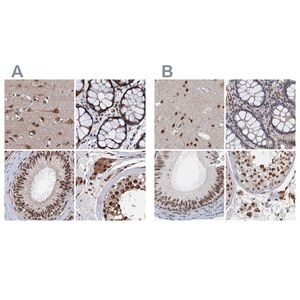
Anti-CSTF3 antibody produced in rabbit
Prestige Antibodies® Powered by Atlas Antibodies
Affinity isolated antibody, buffered aqueous glycerol solution
제품 개요
토끼에서 생산된 polyclonal 항체로, 인간, 마우스, 랫트 단백질에 반응합니다. Western blot 및 면역조직화학(immunohistochemistry)에 사용 가능합니다.
제품 사양
| 항목 | 내용 |
|---|---|
| Biological Source | Rabbit |
| Quality Level | 100 |
| Conjugate | Unconjugated |
| Antibody Form | Affinity isolated antibody |
| Antibody Type | Primary antibody |
| Clone | Polyclonal |
| Product Line | Prestige Antibodies® Powered by Atlas Antibodies |
| Form | Buffered aqueous glycerol solution |
| Species Reactivity | Rat, Mouse, Human |
| Packaging | 25 μL small pack |
| Enhanced Validation | Independent (Antibody Enhanced Validation) |
| Techniques | Immunoblotting: 0.04–0.4 μg/mL Immunohistochemistry: 1:50–1:200 |
| Immunogen Sequence | QLWRDYNKYEEGINIHLAKKMIEDRSRDYMNARRVAKEYETVMKGLDRNAPSVPPQNTPQEAQQVDMWKKYIQWEKSNPLRTEDQTLITKRVMFAYEQCLLVLGHH |
| UniProt Accession No. | Q12996 |
| Shipping Conditions | Wet ice |
| Storage Temperature | −20 °C |
| Gene Information | Human CSTF3 (1479) — Cleavage stimulation factor, 3′ pre-RNA, subunit 3, 77 kDa recombinant protein epitope signature tag (PrEST) |
참고 정보
이 항체는 Atlas Antibodies와 협력하여 제작된 Prestige Antibodies® 시리즈 제품으로, 독립적인 향상 검증(Enhanced Validation)을 거쳤습니다.
🏷️Merck Sigma 상품 둘러보기
동일 브랜드의 다른 상품들을 확인해보세요

Merck Sigma
Merck Anti-WDR61 antibody produced in rabbit
370,530원

Merck Sigma
Merck Anti-SYCE1 antibody produced in rabbit
895,700원

Merck Sigma
Merck Anti-CSTF3 antibody produced in rabbit
895,700원

Merck Sigma
Merck Anti-C11orf49 antibody produced in rabbit
895,600원

Merck Sigma
Merck Anti-MPHOSPH8 antibody produced in rabbit
370,530원
배송/결제/교환/반품 안내
배송 정보
| 기본 배송비 |
| 교환/반품 배송비 |
|
|---|---|---|---|
| 착불 배송비 |
| ||
| 교환/반품 배송비 |
| ||
결제 및 환불 안내
| 결제수단 |
|
|---|---|
| 취소 |
|
| 반품 |
|
| 환급 |
|
교환 및 반품 접수
| 교환 및 반품 접수 기한 |
|
|---|---|
| 교환 및 반품 접수가 가능한 경우 |
|
| 교환 및 반품 접수가 불가능한 경우 |
|
교환 및 반품 신청
| 교환 절차 |
|
|---|---|
| 반품 절차 |
|
문의 0
로그인 후 문의를 할 수 있습니다.