
Thermo Fisher Scientific Goat anti-Rat IgG (H+L) Cross-Adsorbed Secondary Antibody, HRP
Thermo Fisher Scientific의 Goat anti-Rat IgG (H+L) HRP 결합 2차 항체는 Rat IgG 검출용으로 제작된 고품질 폴리클로날 항체입니다. Western blot, IHC, ELISA 등 다양한 응용에 적합하며, 교차 흡착 처리로 높은 특이성과 낮은 비특이적 결합을 제공합니다. 연구용 전용 제품입니다.
✨AI 추천 연관 상품
AI가 분석한 이 상품과 연관된 추천 상품들을 확인해보세요
연관 상품을 찾고 있습니다...
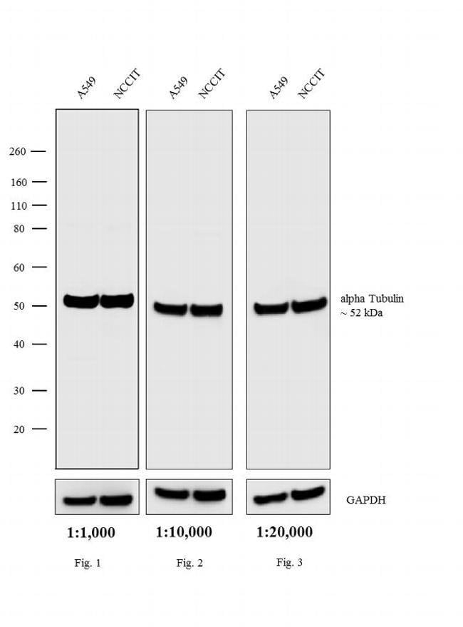
Applications 및 희석 배수
| Application | Tested Dilution |
|---|---|
| Western Blot (WB) | 1:1,000–1:20,000 |
| Immunohistochemistry (IHC) | 1:500–1:20,000 |
| ELISA | 1:500–1:20,000 |
Product Specifications
| 항목 | 내용 |
|---|---|
| Species Reactivity | Rat |
| Host / Isotype | Goat / IgG |
| Class | Polyclonal |
| Type | Secondary Antibody |
| Immunogen | Gamma Immunoglobins Heavy and Light chains |
| Conjugate | HRP |
| Form | Lyophilized |
| Concentration | 2.5 mg/mL |
| Purification | Affinity chromatography |
| Storage buffer | PBS, pH 7.2, with 1% BSA |
| Contains | 0.1% ProClin 150 |
| Storage conditions | Store at 4°C short term. For long term storage, store at -20°C, avoiding freeze/thaw cycles. |
| Shipping conditions | Wet ice |
| RRID | AB_2535648 |
| Target | IgG |
| Cross Adsorption | Against human and mouse IgG |
| Antibody Form | Whole Antibody |
Product Specific Information
Rehydrate with 1.1 mL of deionized water and let stand 30 minutes at room temperature to dissolve. (Product has been overfilled to ensure complete recovery.)
Centrifuge to remove any particulates. Prepare fresh working dilution daily.
Store lyophilized material at 2–8°C.
For long-term storage after reconstitution, dilute with 50% glycerol and store at -20°C as a liquid.
Based on immunoelectrophoresis, no reactivity is observed to non-immunoglobulin rat serum proteins, IgG from human or mouse, highly cross-adsorbed against mouse IgG.
Target Information
Anti-Rat secondary antibodies are affinity-purified antibodies with well-characterized specificity for rat immunoglobulins.
They are useful in detection, sorting, or purification of rat IgG targets.
Secondary antibodies enhance assay versatility by allowing use with multiple detection systems (e.g., HRP, AP, fluorescence) and improve sensitivity through signal amplification.
Typically generated by immunizing the host animal with pooled immunoglobulins from the target species, then purified and modified (e.g., immunoaffinity chromatography, fragmentation, label conjugation) to yield highly specific reagents.
Additional Formats
다양한 형광 및 효소 결합 형식으로도 제공됩니다.
- Alexa Fluor 시리즈 (350, 488, 546, 555, 568, 594, 633, 647, 680)
- AP, APC, Cyanine3, Cyanine5
- DSB-X Biotin, DyLight 시리즈 (488, 550, 594, 650, 680, 755, 800)
- FITC, PE, Texas Red-X, TRITC
- Custom conjugation 요청 가능
For Research Use Only.
Not for use in diagnostic procedures.
Not for resale without express authorization.
🏷️Thermo Fisher Scientific 상품 둘러보기
동일 브랜드의 다른 상품들을 확인해보세요

Thermo Fisher Scientific
Thermo Fisher Scientific Goat anti-Rat IgG (H+L) Cross-Adsorbed Secondary Antibody, TRITC
334,400원

Thermo Fisher Scientific
Thermo Fisher Scientific Goat anti-Rat IgG (H+L) Cross-Adsorbed Secondary Antibody
265,000원

Thermo Fisher Scientific
Thermo Fisher Scientific Goat anti-Rat IgG (H+L) Cross-Adsorbed Secondary Antibody, HRP
267,900원

Thermo Fisher Scientific
Thermo Fisher Scientific Goat anti-Rat IgG (H+L) Secondary Antibody, TRITC
166,200원

Thermo Fisher Scientific
Thermo Fisher Scientific Goat anti-Rat IgG (H+L) Cross-Adsorbed Secondary Antibody, FITC
406,700원
배송/결제/교환/반품 안내
배송 정보
| 기본 배송비 |
| 교환/반품 배송비 |
|
|---|---|---|---|
| 착불 배송비 |
| ||
| 교환/반품 배송비 |
| ||
결제 및 환불 안내
| 결제수단 |
|
|---|---|
| 취소 |
|
| 반품 |
|
| 환급 |
|
교환 및 반품 접수
| 교환 및 반품 접수 기한 |
|
|---|---|
| 교환 및 반품 접수가 가능한 경우 |
|
| 교환 및 반품 접수가 불가능한 경우 |
|
교환 및 반품 신청
| 교환 절차 |
|
|---|---|
| 반품 절차 |
|