
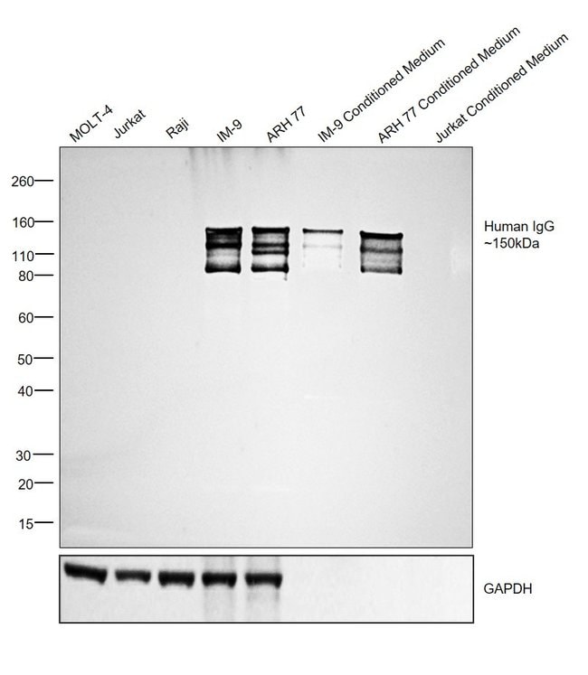
Thermo Fisher Scientific Rabbit anti-Human IgG (H+L) Secondary Antibody, HRP
HRP 결합 Rabbit anti-Human IgG (H+L) 2차 항체로 Western blot, IHC, ELISA에 사용. 인간 IgG에 특이적이며 높은 감도와 신뢰성 제공. 동결건조 형태로 안정적 보관 가능. 연구용으로만 사용.
✨AI 추천 연관 상품
AI가 분석한 이 상품과 연관된 추천 상품들을 확인해보세요
연관 상품을 찾고 있습니다...
Thermo Fisher Scientific Rabbit anti-Human IgG (H+L) Secondary Antibody, HRP
Applications and Tested Dilution
| Application | Tested Dilution |
|---|---|
| Western Blot (WB) | 1:500–1:20,000 |
| Immunohistochemistry (IHC) | 1:500–1:20,000 |
| ELISA | 1:500–1:20,000 |
Product Specifications
| 항목 | 내용 |
|---|---|
| Species Reactivity | Human |
| Host / Isotype | Rabbit / IgG |
| Class | Polyclonal |
| Type | Secondary Antibody |
| Immunogen | Gamma Immunoglobins Heavy and Light chains |
| Conjugate | HRP |
| Form | Lyophilized |
| Concentration | 2.5 mg/mL |
| Purification | Affinity chromatography |
| Storage Buffer | PBS, pH 7.2, with 1% BSA |
| Contains | 0.1% ProClin 150 |
| Storage Conditions | Store at 4°C short term; for long term, store at -20°C avoiding freeze/thaw cycles |
| Shipping Conditions | Wet ice |
| RRID | AB_2535678 |
| Target | IgG |
| Antibody Form | Whole Antibody |
Additional Formats
- [AP Conjugate]
- [Biotin Conjugate]
- [FITC Conjugate]
- [Texas Red Conjugate]
- [TRITC Conjugate]
- [Request custom conjugation]
Product Specific Information
Each lot of antibody is tested for sensitivity using ELISA and for specificity using immunoelectrophoresis (IEP).
Rehydrate with 1.1 mL of deionized water and let stand 30 minutes at room temperature to dissolve. (Product has been overfilled to ensure complete recovery.) Centrifuge to remove particulates. Prepare fresh working dilution daily.
Store lyophilized material at 2–8°C. For long-term storage after reconstitution, dilute with 50% glycerol and store at -20°C as a liquid.
Based on immunoelectrophoresis, no reactivity is observed to non-immunoglobulin human serum components.
Target Information
Anti-Human secondary antibodies are affinity-purified antibodies with well-characterized specificity for human immunoglobulins.
They are useful in detection, sorting, or purification of specific targets. Secondary antibodies offer versatility for various detection systems (HRP, AP, fluorescence) and enhanced sensitivity through signal amplification.
Typically, secondary antibodies are generated by immunizing the host animal with pooled immunoglobulins from the target species and can be purified or modified (e.g., immunoaffinity chromatography, fragmentation, conjugation) to produce highly specific reagents.
Usage Note
For Research Use Only. Not for use in diagnostic procedures or resale without authorization.
🏷️Thermo Fisher Scientific 상품 둘러보기
동일 브랜드의 다른 상품들을 확인해보세요

Thermo Fisher Scientific
Thermo Fisher Scientific Rabbit anti-Human IgG (H+L) Secondary Antibody
263,000원

Thermo Fisher Scientific
Thermo Fisher Scientific Rabbit anti-Human IgG (H+L) Secondary Antibody, FITC
322,600원

Thermo Fisher Scientific
Thermo Fisher Scientific Rabbit anti-Human IgG (H+L) Secondary Antibody, HRP
183,800원

Thermo Fisher Scientific
Thermo Fisher Scientific Rabbit anti-Syrian Hamster IgG (H+L) Cross-Adsorbed Secondary Antibody, HRP
287,400원

Thermo Fisher Scientific
Thermo Fisher Scientific Rabbit anti-Syrian Hamster IgG (H+L) Secondary Antibody, Biotin
346,100원
배송/결제/교환/반품 안내
배송 정보
| 기본 배송비 |
| 교환/반품 배송비 |
|
|---|---|---|---|
| 착불 배송비 |
| ||
| 교환/반품 배송비 |
| ||
결제 및 환불 안내
| 결제수단 |
|
|---|---|
| 취소 |
|
| 반품 |
|
| 환급 |
|
교환 및 반품 접수
| 교환 및 반품 접수 기한 |
|
|---|---|
| 교환 및 반품 접수가 가능한 경우 |
|
| 교환 및 반품 접수가 불가능한 경우 |
|
교환 및 반품 신청
| 교환 절차 |
|
|---|---|
| 반품 절차 |
|