
Thermo Fisher Scientific Chicken anti-Rabbit IgG (H+L) Cross-Adsorbed Secondary Antibody, Alexa Fluor 594
Alexa Fluor 594로 결합된 Chicken anti-Rabbit IgG(H+L) 2차 항체로, 낮은 비특이적 결합과 높은 신호 대비를 제공합니다. Western blot, IHC, ICC/IF에 최적화되어 있으며, 사람 및 마우스 IgG에 교차흡착 처리되어 있습니다. 연구용 전용 제품입니다.
✨AI 추천 연관 상품
AI가 분석한 이 상품과 연관된 추천 상품들을 확인해보세요
연관 상품을 찾고 있습니다...
Applications 및 권장 희석 배수
| Application | Tested Dilution |
|---|---|
| Western Blot (WB) | 1:2,500–1:5,000 |
| Immunohistochemistry (IHC) | 1–10 µg/mL |
| Immunocytochemistry (ICC/IF) | 1:500–1:2,000 |
Product Specifications
| 항목 | 내용 |
|---|---|
| Species Reactivity | Rabbit |
| Host / Isotype | Chicken / IgY |
| Class | Polyclonal |
| Type | Secondary Antibody |
| Immunogen | Gamma Immunoglobins Heavy and Light chains |
| Conjugate | Alexa Fluor™ 594 |
| Excitation / Emission Max | 590 / 618 nm |
| Form | Liquid |
| Concentration | 2 mg/mL |
| Purification | Purified |
| Storage Buffer | PBS, pH 7.5 |
| Contains | 5 mM Sodium Azide |
| Storage Conditions | 4°C, store in dark |
| Shipping Conditions | Ambient |
| RRID | AB_2535860 |
| Target | IgG |
| Cross Adsorption | Against human and mouse IgG prior to conjugation |
| Antibody Form | Whole Antibody |
Additional Available Formats
- Alexa Fluor 488
- Alexa Fluor 647
- AP
- Biotin
- FITC
- HRP
- TRITC
- Custom conjugation available upon request
Product Specific Information
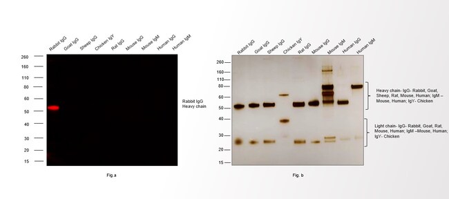
이 Chicken anti-Rabbit 항체는 토끼의 IgG 중쇄 및 모든 면역글로불린 경쇄와 반응합니다.
Chicken 유래 2차 항체는 낮은 비특이적 결합을 보여주며, Fc 영역이 없어 protein A 또는 protein G, 그리고 포유류의 IgG Fc 수용체와 결합하지 않습니다.
제품은 실온에서 배송됩니다.
Target Information
Anti-Rabbit 2차 항체는 토끼 면역글로불린에 대한 특이성이 잘 규명된 친화정제 항체로, 표적 단백질의 검출, 분리 또는 정제에 유용합니다.
2차 항체는 HRP, AP, 형광 등 다양한 검출 시스템과 호환되며, 여러 개의 2차 항체가 하나의 1차 항체에 결합할 수 있어 신호 증폭을 통한 높은 감도를 제공합니다.
일반적으로, 2차 항체는 표적 종의 면역글로불린 풀로 면역화한 후 친화 크로마토그래피, 항체 절단, 라벨 결합 등의 과정을 통해 고특이성 시약으로 제조됩니다.
For Research Use Only. Not for use in diagnostic procedures. Not for resale without express authorization.
제품 이미지

🏷️Thermo Fisher Scientific 상품 둘러보기
동일 브랜드의 다른 상품들을 확인해보세요

Thermo Fisher Scientific
Thermo Fisher Scientific Photoetch Coverslp18 X 18 M (BEL-1916-91818)
268,900원

Thermo Fisher Scientific
Thermo Fisher Scientific 25Mm Round-German Glass (BEL-1916-91025)
618,800원

Thermo Fisher Scientific
Thermo Fisher Scientific Chicken anti-Rabbit IgG (H+L) Cross-Adsorbed Secondary Antibody, Alexa Fluor 594
397,900원

Thermo Fisher Scientific
Thermo Fisher Scientific Chicken anti-Rabbit IgG (H+L) Cross-Adsorbed Secondary Antibody, Alexa Fluor 488
397,900원

Thermo Fisher Scientific
Thermo Fisher Scientific Goat anti-Human IgG (H+L) Cross-Adsorbed Secondary Antibody, Alexa Fluor 647
339,200원
배송/결제/교환/반품 안내
배송 정보
| 기본 배송비 |
| 교환/반품 배송비 |
|
|---|---|---|---|
| 착불 배송비 |
| ||
| 교환/반품 배송비 |
| ||
결제 및 환불 안내
| 결제수단 |
|
|---|---|
| 취소 |
|
| 반품 |
|
| 환급 |
|
교환 및 반품 접수
| 교환 및 반품 접수 기한 |
|
|---|---|
| 교환 및 반품 접수가 가능한 경우 |
|
| 교환 및 반품 접수가 불가능한 경우 |
|
교환 및 반품 신청
| 교환 절차 |
|
|---|---|
| 반품 절차 |
|