
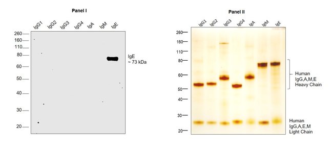
Thermo Fisher Scientific Mouse anti-Human IgE Secondary Antibody
Thermo Fisher Scientific의 Mouse anti-Human IgE Secondary Antibody는 인간 IgE 검출용 단클론 2차 항체입니다. Western blot, ELISA, IP, RIA 등 다양한 응용 가능. Protein A로 정제된 고순도 항체로 안정적인 신호 증폭과 높은 특이성 제공.
✨AI 추천 연관 상품
AI가 분석한 이 상품과 연관된 추천 상품들을 확인해보세요
연관 상품을 찾고 있습니다...
Thermo Fisher Scientific Mouse anti-Human IgE Secondary Antibody
Applications and Tested Dilution
| Application | Tested Dilution |
|---|---|
| Western Blot (WB) | 1:500–1:2,000 |
| ELISA | Assay-dependent |
| Immunoprecipitation (IP) | Assay-dependent |
| Radioimmune Assays (RIA) | Assay-dependent |
Product Specifications
| 항목 | 내용 |
|---|---|
| Species Reactivity | Human |
| Host / Isotype | Mouse / IgG2b |
| Class | Monoclonal |
| Type | Secondary Antibody |
| Clone | Fc-2001 |
| Immunogen | Human Myeloma IgE |
| Conjugate | Unconjugated |
| Form | Liquid |
| Concentration | 5 mg/mL |
| Purification | Protein A |
| Storage Buffer | PBS, pH 7.4 |
| Contains | 0.09% sodium azide |
| Storage Conditions | 2–8°C (최대 6개월 보관), 장기 보관 시 -20°C |
| Shipping Conditions | Ambient (국내), Wet ice (국외) |
| RRID | AB_11152067 |
| Target | IgE |
| Antibody Form | Whole Antibody |
Product Specific Information
MII0204PG는 이전에 Seradyn 제품으로 판매되었으며, MA5-14727의 대용량 포장 버전입니다.
Target Information
Anti-Human secondary antibodies는 인간 면역글로불린에 대한 특이성을 지닌 친화정제 항체로, 검출·분리·정제에 유용합니다.
Secondary antibody는 HRP, AP, 형광 등 다양한 검출 시스템과 호환되며, 신호 증폭을 통해 감도를 높일 수 있습니다.
일반적으로 숙주 동물에 대상 종의 면역글로불린 풀을 면역하여 생산하며, 면역친화 크로마토그래피, 항체 절편화, 라벨 결합 등의 방법으로 고특이성 시약을 제작합니다.
For Research Use Only. Not for use in diagnostic procedures. Not for resale without express authorization.
🏷️Thermo Fisher Scientific 상품 둘러보기
동일 브랜드의 다른 상품들을 확인해보세요

Thermo Fisher Scientific
Thermo Fisher Scientific Luteinizing Hormone Monoclonal Antibody (9008)
1,120,300원

Thermo Fisher Scientific
Thermo Fisher Scientific Mouse anti-Human IgG (H+L) Secondary Antibody
1,182,800원

Thermo Fisher Scientific
Thermo Fisher Scientific Mouse anti-Human IgE Secondary Antibody
1,182,800원

Thermo Fisher Scientific
Thermo Fisher Scientific Mini-phone Jack/USB cable for Eutech 450 series/2700 series meters
70,200원

Thermo Fisher Scientific
Thermo Fisher Scientific Mouse anti-Human IgE Secondary Antibody
1,194,600원
배송/결제/교환/반품 안내
배송 정보
| 기본 배송비 |
| 교환/반품 배송비 |
|
|---|---|---|---|
| 착불 배송비 |
| ||
| 교환/반품 배송비 |
| ||
결제 및 환불 안내
| 결제수단 |
|
|---|---|
| 취소 |
|
| 반품 |
|
| 환급 |
|
교환 및 반품 접수
| 교환 및 반품 접수 기한 |
|
|---|---|
| 교환 및 반품 접수가 가능한 경우 |
|
| 교환 및 반품 접수가 불가능한 경우 |
|
교환 및 반품 신청
| 교환 절차 |
|
|---|---|
| 반품 절차 |
|