
Merck ANTI-TIA1
상품 한눈에 보기
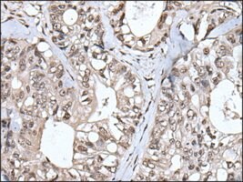
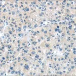
TIA1 단백질에 특이적인 항체로 세포 내 RNA 결합 단백질 분석에 사용. Merck Sigma 제공 제품으로 높은 특이성과 재현성을 보장. -20°C에서 안정적으로 보관 가능. 연구용으로 적합한 100UL 포장 단위.
브랜드: Merck Sigma
✨AI 추천 연관 상품
AI가 분석한 이 상품과 연관된 추천 상품들을 확인해보세요
연관 상품을 찾고 있습니다...
Merck ANTI-TIA1
Merck Sigma에서 제공하는 ANTI-TIA1 항체로, TIA1 단백질 검출 및 연구에 사용됩니다. RNA 결합 단백질 관련 실험에 적합하며, 높은 특이성과 안정성을 제공합니다.
제품 설명
SAB4301803-100UL
ANTI-TIA1 ANTI-TIA1
제품 스펙
| 항목 | 내용 |
|---|---|
| Size (크기) | 1/UL |
| Packaging UOM (포장 단위) | UL |
| Number Of Containers Package Unit (포장 단위당 제품 수) | 100UL/UL |
| Individual Container Size In Package Unit (개별 포장당 용량) | 1/UL |
| UNSPSC (UNSPSC 분류) | 12352200 |
| Flash Point (발화점) | Not applicable |
| Storage (보관온도) | -20°C |
| Merck URL (머크 페이지 주소) | https://www.sigmaaldrich.com/US/en/product/SIGMA/SAB4301803?context=product |
제품 이미지
(이미지 없음)
배송/결제/교환/반품 안내
배송 정보
| 기본 배송비 |
| 교환/반품 배송비 |
|
|---|---|---|---|
| 착불 배송비 |
| ||
| 교환/반품 배송비 |
| ||
결제 및 환불 안내
| 결제수단 |
|
|---|---|
| 취소 |
|
| 반품 |
|
| 환급 |
|
교환 및 반품 접수
| 교환 및 반품 접수 기한 |
|
|---|---|
| 교환 및 반품 접수가 가능한 경우 |
|
| 교환 및 반품 접수가 불가능한 경우 |
|
교환 및 반품 신청
| 교환 절차 |
|
|---|---|
| 반품 절차 |
|
문의 0
로그인 후 문의를 할 수 있습니다.




