
Merck Monoclonal Anti-LY6K antibody produced in mouse
✨AI 추천 연관 상품
AI가 분석한 이 상품과 연관된 추천 상품들을 확인해보세요
연관 상품을 찾고 있습니다...
Monoclonal Anti-LY6K antibody produced in mouse
Prestige Antibodies® Powered by Atlas Antibodies, clone CL2433, purified immunoglobulin, buffered aqueous glycerol solution
Monoclonal Anti-HSJ001348, Monoclonal Anti-CT97, Monoclonal Anti-FLJ35226
Quality Level
생물학적 소스
mouse
결합
unconjugated
항체 형태
purified immunoglobulin
antibody product type
primary antibodies
클론
CL2433, monoclonal
제품 라인
Prestige Antibodies® Powered by Atlas Antibodies
form
buffered aqueous glycerol solution
species reactivity
human
포장
antibody small pack of 25 μL
technique(s)
immunoblotting: 1 μg/mL
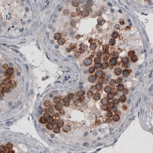
immunohistochemistry: 1:200- 1:500
동형
IgG1
면역원 서열
TDEGDNRVWCHVCERENTFECQNPRRCKWTEPYCVIAAVKIFPRFFMVAKQCSAGCAAMERPKPEEKRFLLEEPMPFFYLKCCKIRYCNLEGPPINSSVFKEYAG
UniProt 수납 번호
배송 상태
wet ice
저장 온도
−20°C
Gene Information
human ... LY6K(54742)
Monoclonal Anti-LY6K Prestige Antibodies® Powered by Atlas Antibodies is developed and validated by the Human Protein Atlas (HPA) project (www.proteinatlas.org). Each antibody is tested by immunohistochemistry against hundreds of normal and
🏷️Merck Sigma 상품 둘러보기
동일 브랜드의 다른 상품들을 확인해보세요

Merck Sigma
Merck Monoclonal Anti-LY6K antibody produced in mouse
761,300원

Merck Sigma
Merck Monoclonal Anti-ITIH4 antibody produced in mouse
761,400원

Merck Sigma
Merck Monoclonal Anti-LY6K antibody produced in mouse
817,800원

Merck Sigma
Merck Monoclonal Anti-HER2 antibody produced in mouse
370,530원

Merck Sigma
Merck Monoclonal Anti-EGFR antibody produced in mouse
793,800원
배송/결제/교환/반품 안내
배송 정보
| 기본 배송비 |
| 교환/반품 배송비 |
|
|---|---|---|---|
| 착불 배송비 |
| ||
| 교환/반품 배송비 |
| ||
결제 및 환불 안내
| 결제수단 |
|
|---|---|
| 취소 |
|
| 반품 |
|
| 환급 |
|
교환 및 반품 접수
| 교환 및 반품 접수 기한 |
|
|---|---|
| 교환 및 반품 접수가 가능한 경우 |
|
| 교환 및 반품 접수가 불가능한 경우 |
|
교환 및 반품 신청
| 교환 절차 |
|
|---|---|
| 반품 절차 |
|
