
Merck Anti-RPS6KA3 antibody produced in rabbit
상품 한눈에 보기
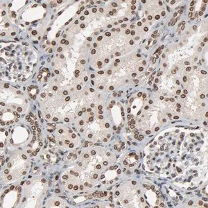
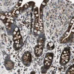
토끼에서 생산된 Anti-RPS6KA3 항체로, RSK2 단백질을 인식합니다. Prestige Antibodies® Powered by Atlas Antibodies 제품이며, 친화 정제된 글리세롤 완충 수용액 형태입니다. 인간 Xp22.2 염색체상 RPS6KA3 유전자를 표적합니다.
브랜드: Merck Sigma
✨AI 추천 연관 상품
AI가 분석한 이 상품과 연관된 추천 상품들을 확인해보세요
연관 상품을 찾고 있습니다...
Anti-RPS6KA3 antibody produced in rabbit
Prestige Antibodies® Powered by Atlas Antibodies
Affinity isolated antibody, buffered aqueous glycerol solution
Synonyms
- Anti-Ribosomal protein S6 kinase alpha-3
- Anti-MAP kinase-activated protein kinase 1b
- Anti-Ribosomal S6 kinase 2
- Anti-p90-RSK 3
- Anti-pp90RSK2
- Anti-90 kDa ribosomal protein S6 kinase 3
- Anti-ISPK-1
- Anti-MAPKAPK1
- Anti-Insulin-stimulated protein kinase 1
- Anti-RSK-2
- Anti-S6K-alpha 3
Description
The RPS6KA3 (ribosomal protein S6 kinase, 90kDa, polypeptide 3) gene, also referred to as RSK2, is mapped to human chromosome Xp22.2.
It encodes a protein belonging to the RSK (ribosomal S6 kinase) family of serine/threonine kinases.
🏷️Merck Sigma 상품 둘러보기
동일 브랜드의 다른 상품들을 확인해보세요

Merck Sigma
Merck Anti-CLEC2D antibody produced in rabbit
895,700원

Merck Sigma
Merck Anti-KDM7A antibody produced in rabbit
370,530원

Merck Sigma
Merck Anti-RPS6KA3 antibody produced in rabbit
370,530원

Merck Sigma
Merck Anti-CMTM3 antibody produced in rabbit
370,530원

Merck Sigma
Merck Anti-SLC22A23 antibody produced in rabbit
895,700원
배송/결제/교환/반품 안내
배송 정보
| 기본 배송비 |
| 교환/반품 배송비 |
|
|---|---|---|---|
| 착불 배송비 |
| ||
| 교환/반품 배송비 |
| ||
결제 및 환불 안내
| 결제수단 |
|
|---|---|
| 취소 |
|
| 반품 |
|
| 환급 |
|
교환 및 반품 접수
| 교환 및 반품 접수 기한 |
|
|---|---|
| 교환 및 반품 접수가 가능한 경우 |
|
| 교환 및 반품 접수가 불가능한 경우 |
|
교환 및 반품 신청
| 교환 절차 |
|
|---|---|
| 반품 절차 |
|
문의 0
로그인 후 문의를 할 수 있습니다.