
Merck Anti-CHAF1B antibody produced in rabbit
CHAF1B 단백질을 인식하는 토끼 유래 폴리클로날 항체로, 인간 시료에 반응합니다. Prestige Antibodies® 라인 제품이며, 면역블롯, 면역형광, 면역조직화학 등에 사용 가능합니다. 친화적으로 분리된 항체로 −20°C에서 보관합니다.
✨AI 추천 연관 상품
AI가 분석한 이 상품과 연관된 추천 상품들을 확인해보세요
연관 상품을 찾고 있습니다...
Anti-CHAF1B antibody produced in rabbit
제품 개요
Prestige Antibodies® Powered by Atlas Antibodies
Affinity isolated antibody, buffered aqueous glycerol solution
대상 단백질:
- CAF-I 60 kDa subunit
- Chromatin assembly factor I p60 subunit
- M-phase phosphoprotein 7
- CAF-1 subunit B
- Chromatin assembly factor 1 subunit B
- CAF-Ip60
생물학적 소스
rabbit
품질 등급
100
결합 형태
unconjugated
항체 형태
affinity isolated antibody
항체 종류
primary antibodies
클론
polyclonal
제품 라인
Prestige Antibodies® Powered by Atlas Antibodies
형태
buffered aqueous glycerol solution
반응 종
human
포장 단위
antibody small pack of 25 μL
적용 기술
| Technique | Working Concentration |
|---|---|
| Immunoblotting | 0.04–0.4 μg/mL |
| Immunofluorescence | 0.25–2 μg/mL |
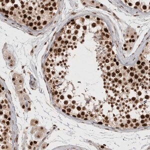
| Immunohistochemistry | 1:20–1:50 |
면역원 서열
PAPTVIRDPPSITPAVKSPLPGPSEEKTLQPSSQNTKAHPSRRVTLNTLQAWSKTTPRRINLTPLKTDTPPSSVPTSVISTPSTEEIQSETPGDAQGSPPELKRPRLDENKG
UniProt 수납 번호
배송 상태
wet ice
저장 온도
−20°C
유전자 정보
Gene: CHAF1B (Chromatin assembly factor 1, subunit B)
Chromosome location: 21q22.2
CHAF1B는 Chromatin assembly factor 1의 60kDa 대형 서브유닛으로, 주로 핵에서 발현됩니다.
🏷️Merck Sigma 상품 둘러보기
동일 브랜드의 다른 상품들을 확인해보세요

Merck Sigma
Merck Anti-DSCR3 antibody produced in rabbit
817,800원

Merck Sigma
Merck Anti-DPH7 antibody produced in rabbit
895,700원

Merck Sigma
Merck Anti-CHAF1B antibody produced in rabbit
370,530원

Merck Sigma
Merck Anti-MRPS7 antibody produced in rabbit
895,700원

Merck Sigma
Merck Anti-CCDC144A antibody produced in rabbit
895,700원
배송/결제/교환/반품 안내
배송 정보
| 기본 배송비 |
| 교환/반품 배송비 |
|
|---|---|---|---|
| 착불 배송비 |
| ||
| 교환/반품 배송비 |
| ||
결제 및 환불 안내
| 결제수단 |
|
|---|---|
| 취소 |
|
| 반품 |
|
| 환급 |
|
교환 및 반품 접수
| 교환 및 반품 접수 기한 |
|
|---|---|
| 교환 및 반품 접수가 가능한 경우 |
|
| 교환 및 반품 접수가 불가능한 경우 |
|
교환 및 반품 신청
| 교환 절차 |
|
|---|---|
| 반품 절차 |
|