
Merck Anti-BAG4 antibody produced in rabbit
✨AI 추천 연관 상품
AI가 분석한 이 상품과 연관된 추천 상품들을 확인해보세요
연관 상품을 찾고 있습니다...
Anti-BAG4 antibody produced in rabbit
Prestige Antibodies® Powered by Atlas Antibodies, affinity isolated antibody, buffered aqueous glycerol solution
Anti-BAG family molecular chaperone regulator 4, Anti-Silencer of death domains, Anti-Bcl-2-associated athanogene 4, Anti-BAG-4
생물학적 소스
rabbit
Quality Level
결합
unconjugated
항체 형태
affinity isolated antibody
antibody product type
primary antibodies
클론
polyclonal
제품 라인
Prestige Antibodies® Powered by Atlas Antibodies
form
buffered aqueous glycerol solution
species reactivity
human
포장
antibody small pack of 25 μL
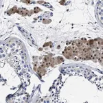
technique(s)
immunohistochemistry: 1:50- 1:200
면역원 서열
VHQYESSGTVNNDDSDLLDSQVQYSAEPQLYGNATSDHPNNQDQSSSLPEECVPSDESTPPSIKKIIHVLEKVQYLEQ
UniProt 수납 번호
배송 상태
wet ice
저장 온도
−20°C
Gene Information
human ... BAG4(9530)
The gene BAG4 (Bcl associated anthanogene family molecular chaperone regulator 4) is mapped to human chromosome 8q12. It is widely expressed. BAG4 localizes in the cytoplasm and the nucleus. BAG4 is also referred as SODD (silencer of death domains).
🏷️Merck Sigma 상품 둘러보기
동일 브랜드의 다른 상품들을 확인해보세요

Merck Sigma
Merck Anti-MOV10L1 antibody produced in rabbit
895,700원

Merck Sigma
Merck Anti-LRRC72 antibody produced in rabbit
895,700원

Merck Sigma
Merck Anti-BAG4 antibody produced in rabbit
370,530원

Merck Sigma
Merck Anti-TMEM150A antibody produced in rabbit
895,700원

Merck Sigma
Merck Anti-CHN2 antibody produced in rabbit
895,600원
배송/결제/교환/반품 안내
배송 정보
| 기본 배송비 |
| 교환/반품 배송비 |
|
|---|---|---|---|
| 착불 배송비 |
| ||
| 교환/반품 배송비 |
| ||
결제 및 환불 안내
| 결제수단 |
|
|---|---|
| 취소 |
|
| 반품 |
|
| 환급 |
|
교환 및 반품 접수
| 교환 및 반품 접수 기한 |
|
|---|---|
| 교환 및 반품 접수가 가능한 경우 |
|
| 교환 및 반품 접수가 불가능한 경우 |
|
교환 및 반품 신청
| 교환 절차 |
|
|---|---|
| 반품 절차 |
|
문의 0
로그인 후 문의를 할 수 있습니다.
