
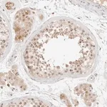
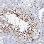
Merck Anti-PSMA5 antibody produced in rabbit
Merck의 Anti-PSMA5 항체는 rabbit에서 생산된 polyclonal primary antibody로, 인간 PSMA5 단백질을 인식합니다. Prestige Antibodies® 라인 제품으로 immunoblotting 및 immunohistochemistry에 적합하며, −20°C에서 보관합니다.
✨AI 추천 연관 상품
AI가 분석한 이 상품과 연관된 추천 상품들을 확인해보세요
연관 상품을 찾고 있습니다...
Anti-PSMA5 antibody produced in rabbit
제품 개요
Prestige Antibodies® Powered by Atlas Antibodies
Affinity isolated antibody, buffered aqueous glycerol solution, ab3
Anti-ζ, Anti-proteasome (prosome, macropain) subunit, α type, 5
생물학적 소스
rabbit
품질 등급
100 (M-Clarity Program)
결합 형태
Unconjugated
항체 형태
Affinity isolated antibody
항체 유형
Primary antibodies
클론
Polyclonal
제품 라인
Prestige Antibodies® Powered by Atlas Antibodies
형태
Buffered aqueous glycerol solution
반응 종
Human
포장
25 μL (antibody small pack)
적용 기술
- Immunoblotting: 0.04–0.4 μg/mL
- Immunohistochemistry: 1:500–1:1000
면역원 서열
ARVETQNHWFTYNETMTVESVTQAVSNLALQFGEEDADPGAMSRPFGVALLFGGVDEKGPQLFHMDPSGTFVQCD
UniProt 수납 번호
배송 상태
Wet ice
저장 온도
−20°C
유전자 정보
Human PSMA5 (5686)
Proteasome (prosome, macropain) subunit, alpha type, 5 recombinant protein epitope signature tag (PrEST)
🏷️Merck Sigma 상품 둘러보기
동일 브랜드의 다른 상품들을 확인해보세요

Merck Sigma
Merck Anti-USP21 antibody produced in rabbit
370,530원

Merck Sigma
Merck Anti-PRUNE1 antibody produced in rabbit
370,530원

Merck Sigma
Merck Anti-PSMA5 antibody produced in rabbit
817,800원

Merck Sigma
Merck Anti-C17orf47 antibody produced in rabbit
895,600원

Merck Sigma
Merck Anti-MCM9 antibody produced in rabbit
895,700원
배송/결제/교환/반품 안내
배송 정보
| 기본 배송비 |
| 교환/반품 배송비 |
|
|---|---|---|---|
| 착불 배송비 |
| ||
| 교환/반품 배송비 |
| ||
결제 및 환불 안내
| 결제수단 |
|
|---|---|
| 취소 |
|
| 반품 |
|
| 환급 |
|
교환 및 반품 접수
| 교환 및 반품 접수 기한 |
|
|---|---|
| 교환 및 반품 접수가 가능한 경우 |
|
| 교환 및 반품 접수가 불가능한 경우 |
|
교환 및 반품 신청
| 교환 절차 |
|
|---|---|
| 반품 절차 |
|