
Merck Anti-METTL11B antibody produced in rabbit
토끼에서 생산된 Anti-METTL11B 폴리클로날 항체로, 인간 METTL11B 단백질을 인식합니다. Prestige Antibodies® 라인 제품이며 면역조직화학(IHC)에 적합합니다. 버퍼 글리세롤 용액 형태로 제공되며 −20°C에서 보관합니다.
✨AI 추천 연관 상품
AI가 분석한 이 상품과 연관된 추천 상품들을 확인해보세요
연관 상품을 찾고 있습니다...
Anti-METTL11B antibody produced in rabbit
제품 개요
Prestige Antibodies® Powered by Atlas Antibodies
Affinity isolated antibody, buffered aqueous glycerol solution
Anti-HOMT1B, Anti-C1orf184
생물학적 소스
rabbit
품질 등급
100 (M-Clarity Program)
결합
unconjugated
항체 형태
affinity isolated antibody
항체 유형
primary antibodies
클론
polyclonal
제품 라인
Prestige Antibodies® Powered by Atlas Antibodies
형태
buffered aqueous glycerol solution
반응 종
human
포장
small pack of 25 μL
적용 기술
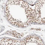
- Immunohistochemistry (IHC): 1:50–1:200
면역원 서열
GIIILKDNVAREGCILDLSDSSVTRDMDILRSLIRKSGLVVLGQEKQDGFPEQCIPVWMFAL
UniProt 수납 번호
배송 상태
wet ice
저장 온도
−20°C
유전자 정보
human METTL11B(149281)
Alpha N-terminal protein methyltransferase 1B 또는 methyltransferase-like protein 11B는 N-terminal RCC1 methyltransferase 2 (NRMT2)로도 알려져 있습니다.
제품 스펙 요약
| 항목 | 내용 |
|---|---|
| Biological Source | Rabbit |
| Quality Level | 100 |
| Conjugation | Unconjugated |
| Antibody Form | Affinity isolated |
| Type | Primary, Polyclonal |
| Product Line | Prestige Antibodies® |
| Formulation | Buffered aqueous glycerol solution |
| Species Reactivity | Human |
| Package Size | 25 μL |
| Technique | IHC (1:50–1:200) |
| Immunogen Sequence | GIIILKDNVAREGCILDLSDSSVTRDMDILRSLIRKSGLVVLGQEKQDGFPEQCIPVWMFAL |
| UniProt Accession | Q5VVY1 |
| Shipping Condition | Wet ice |
| Storage Temperature | −20°C |
| Gene Information | METTL11B (NRMT2) |
🏷️Merck Sigma 상품 둘러보기
동일 브랜드의 다른 상품들을 확인해보세요

Merck Sigma
Merck Anti-ITPKB antibody produced in rabbit
895,700원

Merck Sigma
Merck Anti-AKNAD1 antibody produced in rabbit
895,700원

Merck Sigma
Merck Anti-METTL11B antibody produced in rabbit
895,700원

Merck Sigma
Merck Anti-GSK3B antibody produced in rabbit
793,800원

Merck Sigma
Merck Anti-NUP153 antibody produced in rabbit
370,530원
배송/결제/교환/반품 안내
배송 정보
| 기본 배송비 |
| 교환/반품 배송비 |
|
|---|---|---|---|
| 착불 배송비 |
| ||
| 교환/반품 배송비 |
| ||
결제 및 환불 안내
| 결제수단 |
|
|---|---|
| 취소 |
|
| 반품 |
|
| 환급 |
|
교환 및 반품 접수
| 교환 및 반품 접수 기한 |
|
|---|---|
| 교환 및 반품 접수가 가능한 경우 |
|
| 교환 및 반품 접수가 불가능한 경우 |
|
교환 및 반품 신청
| 교환 절차 |
|
|---|---|
| 반품 절차 |
|