
Merck Anti-TMTC2 antibody produced in rabbit
Merck의 Anti-TMTC2 항체는 rabbit에서 생산된 polyclonal primary antibody로, Prestige Antibodies® Powered by Atlas Antibodies 라인 제품입니다. 인간, 마우스, 랫트 시료에 반응하며 immunoblotting, immunofluorescence, immunohistochemistry에 적합합니다. −20°C에서 보관합니다.
✨AI 추천 연관 상품
AI가 분석한 이 상품과 연관된 추천 상품들을 확인해보세요
연관 상품을 찾고 있습니다...
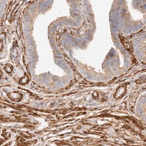
Anti-TMTC2 antibody produced in rabbit
제품 개요
Prestige Antibodies® Powered by Atlas Antibodies
Affinity isolated antibody, buffered aqueous glycerol solution, ab1
대상 항원:
Anti-transmembrane and tetratricopeptide repeat containing 2 (TMTC2),
Anti-DKFZp762A217, Anti-N27C7-4, Anti-C22orf16
생물학적 소스
rabbit
제품 스펙
| 항목 | 내용 |
|---|---|
| Quality Level | 100 |
| 결합 | Unconjugated |
| 항체 형태 | Affinity isolated antibody |
| 항체 타입 | Primary antibodies |
| 클론 | Polyclonal |
| 제품 라인 | Prestige Antibodies® Powered by Atlas Antibodies |
| 형태 | Buffered aqueous glycerol solution |
| Species Reactivity | Mouse, Human, Rat |
| 포장 | 25 μL (Small pack) |
| Technique(s) | Immunoblotting: 0.04–0.4 μg/mL Immunofluorescence: 0.25–2 μg/mL Immunohistochemistry: 1:200–1:500 |
| 면역원 서열 | MMGEAYMRLSKLPEAEHWYMESLRSKTDHIPAHLTYGKLLALTGRKSEAEKLFLKAIELDPTKGNCYMHYGQFLLEEARLIEAAEMAKKAAELDSTEFDVVFNAAHMLRQASLNEAAEKYYDLAARLRPNYPAALMNLGAIL |
| UniProt 수납 번호 | Q8N394 |
| 배송 상태 | Wet ice |
| 저장 온도 | −20°C |
Gene Information
Human TMTC2 (160335)
Transmembrane and tetratricopeptide repeat containing 2 recombinant protein epitope signature tag (PrEST)
🏷️Merck Sigma 상품 둘러보기
동일 브랜드의 다른 상품들을 확인해보세요

Merck Sigma
Merck Anti-RNF146 antibody produced in rabbit
370,530원

Merck Sigma
Merck Anti-CNBD1 antibody produced in rabbit
895,700원

Merck Sigma
Merck Anti-TMTC2 antibody produced in rabbit
370,530원

Merck Sigma
Merck Anti-SASH1 antibody produced in rabbit
895,700원

Merck Sigma
Merck Anti-CYBB antibody produced in rabbit
1,072,640원
배송/결제/교환/반품 안내
배송 정보
| 기본 배송비 |
| 교환/반품 배송비 |
|
|---|---|---|---|
| 착불 배송비 |
| ||
| 교환/반품 배송비 |
| ||
결제 및 환불 안내
| 결제수단 |
|
|---|---|
| 취소 |
|
| 반품 |
|
| 환급 |
|
교환 및 반품 접수
| 교환 및 반품 접수 기한 |
|
|---|---|
| 교환 및 반품 접수가 가능한 경우 |
|
| 교환 및 반품 접수가 불가능한 경우 |
|
교환 및 반품 신청
| 교환 절차 |
|
|---|---|
| 반품 절차 |
|