
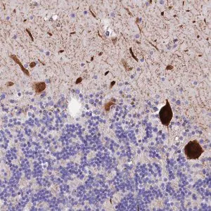
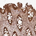
Merck Anti-RPUSD3 antibody produced in rabbit
상품 한눈에 보기
토끼에서 생산된 Anti-RPUSD3 항체로, RPUSD3 단백질을 특이적으로 인식합니다. Prestige Antibodies® 시리즈로 높은 특이성과 재현성을 제공합니다. 인간 염색체 3p25.3에 위치한 RPUSD3 유전자를 기반으로 한 연구에 적합합니다.
브랜드: Merck Sigma
✨AI 추천 연관 상품
AI가 분석한 이 상품과 연관된 추천 상품들을 확인해보세요
연관 상품을 찾고 있습니다...
Anti-RPUSD3 antibody produced in rabbit
Prestige Antibodies® Powered by Atlas Antibodies
Affinity isolated antibody, buffered aqueous glycerol solution
제품 설명
Anti-RNA pseudouridylate synthase domain containing 3 (Anti-RPUSD3, Anti-MGC29784) 항체는 RNA pseudouridylate synthase domain containing 3 (RPUSD3) 단백질을 인식합니다.
RPUSD3는 인간 염색체 3p25.3에 위치한 유전자에 의해 발현됩니다.
제품 사양
| 항목 | 내용 |
|---|---|
| 제품명 | Anti-RPUSD3 antibody produced in rabbit |
| 브랜드 | Prestige Antibodies® (Powered by Atlas Antibodies) |
| 호스트 | Rabbit |
| 대상 단백질 | RPUSD3 (RNA pseudouridylate synthase domain containing 3) |
| 기타 명칭 | Anti-MGC29784 |
| 형태 | Buffered aqueous glycerol solution |
| 정제 방식 | Affinity isolated antibody |
| 유전자 위치 | Human chromosome 3p25.3 |
🏷️Merck Sigma 상품 둘러보기
동일 브랜드의 다른 상품들을 확인해보세요

Merck Sigma
Merck Anti-TOGARAM2 antibody produced in rabbit
895,700원

Merck Sigma
Merck Anti-MMADHC antibody produced in rabbit
895,700원

Merck Sigma
Merck Anti-RPUSD3 antibody produced in rabbit
895,700원

Merck Sigma
Merck Anti-DOCK3 antibody produced in rabbit
895,700원

Merck Sigma
Merck Anti-FAM120B antibody produced in rabbit
895,700원
배송/결제/교환/반품 안내
배송 정보
| 기본 배송비 |
| 교환/반품 배송비 |
|
|---|---|---|---|
| 착불 배송비 |
| ||
| 교환/반품 배송비 |
| ||
결제 및 환불 안내
| 결제수단 |
|
|---|---|
| 취소 |
|
| 반품 |
|
| 환급 |
|
교환 및 반품 접수
| 교환 및 반품 접수 기한 |
|
|---|---|
| 교환 및 반품 접수가 가능한 경우 |
|
| 교환 및 반품 접수가 불가능한 경우 |
|
교환 및 반품 신청
| 교환 절차 |
|
|---|---|
| 반품 절차 |
|
문의 0
로그인 후 문의를 할 수 있습니다.