
Merck Anti-DCTD antibody produced in rabbit
상품 한눈에 보기
토끼에서 생산된 Anti-DCTD 항체로, dCMP deaminase를 인식하는 polyclonal 항체입니다. Atlas Antibodies의 Prestige Antibodies® 라인 제품으로, human 시료에 반응하며 Western blot, IF, IHC에 적합합니다. −20°C 보관, wet ice 배송.
브랜드: Merck Sigma
✨AI 추천 연관 상품
AI가 분석한 이 상품과 연관된 추천 상품들을 확인해보세요
연관 상품을 찾고 있습니다...
Anti-DCTD antibody produced in rabbit
Prestige Antibodies® Powered by Atlas Antibodies
Affinity isolated antibody, buffered aqueous glycerol solution
Anti-DCMP deaminase
제품 개요
본 항체는 dCMP deaminase(DCTD)를 인식하는 polyclonal 항체로, 토끼에서 생산되었습니다. Atlas Antibodies의 Prestige Antibodies® 라인 제품이며, human 시료에 반응합니다.
제품 사양
| 항목 | 내용 |
|---|---|
| 생물학적 소스 | Rabbit |
| Quality Level | 100 |
| 결합 | Unconjugated |
| 항체 형태 | Affinity isolated antibody |
| 항체 유형 | Primary antibody |
| 클론 | Polyclonal |
| 제품 라인 | Prestige Antibodies® Powered by Atlas Antibodies |
| 제형 | Buffered aqueous glycerol solution |
| Species Reactivity | Human |
| 포장 | 25 μL (small pack) |
| 면역원 서열 | QPCGPNMSEVSCKKRDDYLEWPEYFMAVAFLSAQRSKDPNSQVGACIVNSENKIVGIGYNGMPNGCSDDVLPWRRTAENKLDTKYPYVCHA |
| UniProt 수납 번호 | P32321 |
| 배송 상태 | Wet ice |
| 저장 온도 | −20°C |
| Gene Information | Human DCTD(1635) |
| Epitope | dCMP deaminase recombinant protein epitope signature tag (PrEST) |
적용 기술 (Recommended Applications)
- Immunoblotting (Western blot): 0.04–0.4 μg/mL
- Immunofluorescence (IF): 0.25–2 μg/mL
- Immunohistochemistry (IHC): 1:50–1:200
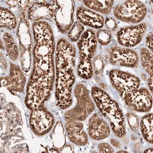
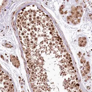
제품 이미지
(해당 상품의 이미지는 원본 페이지 하단에 배치)
🏷️Merck Sigma 상품 둘러보기
동일 브랜드의 다른 상품들을 확인해보세요

Merck Sigma
Merck Anti-CLEC16A antibody produced in rabbit
370,530원

Merck Sigma
Merck Anti-CHRD antibody produced in rabbit
895,700원

Merck Sigma
Merck Anti-DCTD antibody produced in rabbit
895,700원

Merck Sigma
Merck Anti-PDS5B antibody produced in rabbit
370,530원

Merck Sigma
Merck Anti-PPP2R3A antibody produced in rabbit
895,600원
배송/결제/교환/반품 안내
배송 정보
| 기본 배송비 |
| 교환/반품 배송비 |
|
|---|---|---|---|
| 착불 배송비 |
| ||
| 교환/반품 배송비 |
| ||
결제 및 환불 안내
| 결제수단 |
|
|---|---|
| 취소 |
|
| 반품 |
|
| 환급 |
|
교환 및 반품 접수
| 교환 및 반품 접수 기한 |
|
|---|---|
| 교환 및 반품 접수가 가능한 경우 |
|
| 교환 및 반품 접수가 불가능한 경우 |
|
교환 및 반품 신청
| 교환 절차 |
|
|---|---|
| 반품 절차 |
|
문의 0
로그인 후 문의를 할 수 있습니다.